Recesja dziąseł to problem, który dotyka coraz większej liczby osób. Widok odsłoniętych szyjek zębowych, które powinny być chronione przez tkankę dziąsłową, budzi niepokój i często jest przyczyną wizyt u stomatologa. Wiele osób zastanawia się, czy można odzyskać utracone dziąsła i czy istnieją skuteczne metody, aby przywrócić im pierwotny stan. W tym artykule postaram się odpowiedzieć na te pytania, przedstawiając kompleksowe informacje na temat przyczyn recesji, jej skutków oraz dostępnych metod leczenia i profilaktyki.
Przeczytaj również: Ból dziąseł: przyczyny, objawy i skuteczne sposoby na ulgę
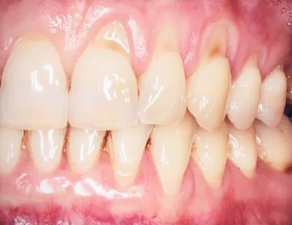
Utracona tkanka dziąsłowa nie odrasta sama poznaj skuteczne metody leczenia recesji
- Tkanka dziąsłowa, która uległa zanikowi (recesji), nie regeneruje się samoistnie do pierwotnego stanu.
- Główne przyczyny recesji to niewłaściwa higiena (zbyt agresywne szczotkowanie), choroby przyzębia (paradontoza), wady zgryzu, bruksizm, genetyka i palenie papierosów.
- Recesja prowadzi do odsłonięcia szyjek zębowych, powodując nadwrażliwość, zwiększone ryzyko próchnicy korzenia i problemy estetyczne.
- Leczenie koncentruje się na zatrzymaniu postępu choroby i, w zaawansowanych przypadkach, na chirurgicznej odbudowie dziąseł.
- Profesjonalne metody obejmują przeszczep dziąsła, sterowaną regenerację tkanek oraz małoinwazyjną technikę Pinhole.
- Domowe sposoby są kluczowe w profilaktyce i utrzymaniu higieny, ale nie są w stanie odbudować utraconej tkanki.
Recesja dziąseł: Czy jest już za późno na ratunek?
Dlaczego martwisz się o swoje dziąsła? Zrozumienie problemu recesji
Recesja dziąseł to stan, w którym linia dziąseł stopniowo się cofa, odsłaniając szyjki, a czasem nawet korzenie zębów. Dla wielu pacjentów jest to powód do niepokoju, ponieważ odsłonięte części zębów są bardziej wrażliwe na bodźce zewnętrzne, takie jak zimno, ciepło czy słodkie pokarmy. Co więcej, odsłonięte korzenie są znacznie bardziej podatne na rozwój próchnicy, a sam proces recesji może prowadzić do wydłużenia zębów, co negatywnie wpływa na estetykę uśmiechu. Problem ten jest dość powszechny; szacuje się, że dotyka znaczną część dorosłej populacji w Polsce, a jego występowanie często wzrasta wraz z wiekiem. Świadomość pacjentów na temat zdrowia jamy ustnej rośnie, co sprawia, że coraz więcej osób szuka rozwiązań dla problemu cofających się dziąseł.
Smutna prawda: Czy dziąsła mogą odrosnąć samodzielnie?
Muszę od razu rozwiać pewne wątpliwości, które często pojawiają się u pacjentów. Utracona tkanka dziąsłowa, która uległa zanikowi w wyniku recesji, nie odrasta samoistnie. To jest kluczowy fakt medyczny, który musimy zrozumieć. Tkanka ta nie ma zdolności do naturalnej regeneracji do pierwotnego stanu. Dlatego tak ważne jest, aby podjąć odpowiednie kroki w celu zatrzymania procesu cofania się dziąseł i, jeśli to możliwe, poddać się leczeniu, które pozwoli odbudować utracone tkanki. Zrozumienie tej prawdy jest pierwszym krokiem do skutecznego działania.
Jakie sygnały alarmowe wysyłają Twoje dziąsła, zanim będzie za późno?
Nasze ciało często daje nam znać, że coś jest nie tak, zanim problem stanie się poważny. W przypadku recesji dziąseł warto zwracać uwagę na następujące objawy:
- Widoczne cofanie się linii dziąseł zęby zaczynają wyglądać na dłuższe.
- Nadwrażliwość zębów odczuwanie bólu lub dyskomfortu na zimno, ciepło, słodkie smaki, a nawet podczas szczotkowania.
- Zmiana koloru dziąseł mogą stać się zaczerwienione, obrzęknięte lub cieńsze.
- Krwawienie dziąseł zauważalne podczas codziennego szczotkowania lub nitkowania zębów.
- Nieświeży oddech może być objawem stanu zapalnego w jamie ustnej.

Gdzie leży źródło problemu? Najczęstsze przyczyny cofania się dziąseł
Zanim przejdziemy do rozwiązań, musimy zrozumieć, dlaczego dziąsła w ogóle się cofają. Poznanie przyczyn jest kluczowe, aby móc skutecznie zapobiegać dalszym problemom i wybrać najlepszą metodę leczenia. Przyczyn może być wiele, a często działają one synergicznie.
Czy szczotkujesz zęby... zbyt dobrze? Paradoks agresywnej higieny
Wydawać by się mogło, że im mocniej szorujemy zęby, tym lepiej je czyścimy. Niestety, w przypadku higieny jamy ustnej często jest odwrotnie. Zbyt agresywne szczotkowanie, zwłaszcza przy użyciu szczoteczki z twardym włosiem, może prowadzić do mechanicznego uszkodzenia delikatnej tkanki dziąsłowej. Z czasem takie działanie powoduje jej ścieranie i cofanie się. Kluczem jest tutaj delikatność i odpowiednia technika. Zalecam stosowanie szczoteczek z miękkim włosiem i wykonywanie ruchów wymiatających, od dziąsła w kierunku korony zęba, a nie szorowanie w przód i w tył.
Niewidzialny wróg: Jak paradontoza niszczy Twoje dziąsła od środka
Choroby przyzębia, a w szczególności paradontoza, to jedna z głównych przyczyn recesji dziąseł. Paradontoza to przewlekła infekcja bakteryjna, która prowadzi do stanu zapalnego dziąseł, a następnie do destrukcji tkanek otaczających ząb, w tym kości szczęki. Postępujący stan zapalny osłabia tkanki dziąsłowe, powodując ich zanik i odsłonięcie szyjek zębowych. Leczenie paradontozy jest absolutnie kluczowe, aby zatrzymać postęp recesji i uratować zęby przed utratą.
Bruksizm i wady zgryzu: Gdy mechanika szczęki prowadzi do zaniku tkanki
Nieprawidłowe obciążenia zgryzowe również mogą mieć znaczący wpływ na stan dziąseł. Bruksizm, czyli mimowolne zgrzytanie lub zaciskanie zębów, szczególnie w nocy, generuje ogromne siły działające na zęby i przyzębie. Podobnie wady zgryzu, które powodują nierównomierne rozłożenie sił podczas żucia, mogą prowadzić do przeciążenia niektórych obszarów i w konsekwencji do recesji dziąseł w tych miejscach. W takich przypadkach konieczne może być leczenie ortodontyczne lub stosowanie specjalnych szyn ochronnych.
Genetyka i styl życia: Czy jesteś w grupie podwyższonego ryzyka?
Nie można zapominać o czynnikach indywidualnych. Niektórzy z nas mają genetycznie uwarunkowany cieńszy biotyp dziąseł, który jest bardziej podatny na recesję. Dodatkowo, palenie papierosów znacząco pogarsza ukrwienie dziąseł, osłabia układ odpornościowy i utrudnia gojenie, co jest szczególnie niekorzystne w kontekście chorób przyzębia i recesji. Osoby z grupy podwyższonego ryzyka powinny szczególnie dbać o profilaktykę i regularnie kontrolować stan swoich dziąseł.
Stop recesji! Jak zatrzymać proces i uniknąć dalszej utraty dziąseł
Chociaż nie możemy sprawić, by utracone dziąsła cudownie odrosły, mamy wpływ na zatrzymanie postępu recesji i zapobieganie jej dalszemu rozwojowi. Kluczem jest połączenie profesjonalnej opieki stomatologicznej z odpowiednią higieną domową.
Fundament zdrowia: Profesjonalna higienizacja jako pierwszy krok do sukcesu
Podstawą profilaktyki i leczenia chorób przyzębia, a co za tym idzie recesji dziąseł jest regularna profesjonalna higienizacja. Zabiegi takie jak skaling (usuwanie kamienia nazębnego) i piaskowanie (usuwanie osadu) wykonywane przez stomatologa lub higienistkę stomatologiczną są niezbędne do usunięcia czynników, które wywołują stany zapalne. Kamień nazębny i płytka bakteryjna są głównymi winowajcami chorób przyzębia. Regularne wizyty kontrolne (co 6 miesięcy) pozwalają na wczesne wykrycie problemu i wdrożenie odpowiednich działań.
Zmień nawyki, nie cel: Klucz do prawidłowej higieny jamy ustnej w domu
Codzienna higiena jamy ustnej odgrywa nieocenioną rolę w utrzymaniu zdrowych dziąseł. Aby skutecznie zapobiegać recesji i dbać o dziąsła, stosuj się do poniższych zaleceń:
- Używaj miękkiej szczoteczki do zębów i wymieniaj ją co 2-3 miesiące.
- Stosuj prawidłową technikę szczotkowania, np. metodę Bassa, która polega na delikatnym masażu dziąseł i usuwaniu płytki bakteryjnej z okolic przydziąsłowych.
- Wybieraj pasty do zębów z fluorem, a w przypadku wrażliwości dziąseł pasty z dodatkiem składników łagodzących i regenerujących, np. wyciągu z ziół, alantoiny.
- Nie zapominaj o przestrzeniach międzyzębowych. Codziennie używaj nici dentystycznej lub szczoteczek międzyzębowych, aby usunąć resztki pokarmu i płytkę bakteryjną z miejsc, do których nie dociera szczoteczka.
- Rozważ stosowanie płynów do płukania jamy ustnej o działaniu antybakteryjnym i regenerującym, jednak pamiętaj, że nie zastąpią one mechanicznego czyszczenia.
Dieta i suplementacja: Co jeść, aby wzmocnić dziąsła od wewnątrz?
Zdrowa, zbilansowana dieta ma ogromny wpływ na kondycję całego organizmu, w tym dziąseł. Składniki takie jak witamina C (niezbędna do produkcji kolagenu, który wzmacnia dziąsła), witamina D (ważna dla zdrowia kości i procesów immunologicznych), wapń (budulec kości i zębów) oraz antyoksydanty (zwalczające stany zapalne) odgrywają kluczową rolę. Choć odpowiednia dieta nie odbuduje utraconej tkanki dziąsłowej, może znacząco wspomóc procesy regeneracyjne i ogólną odporność jamy ustnej.

Gdy profilaktyka to za mało: Nowoczesne metody leczenia recesji
W przypadkach, gdy recesja jest już zaawansowana, a profilaktyka nie przynosi wystarczających efektów, konieczne może być skorzystanie z profesjonalnych metod leczenia. Nowoczesna stomatologia oferuje kilka skutecznych rozwiązań, które pozwalają na odbudowę utraconych tkanek dziąsłowych.
Chirurgiczna odbudowa dziąseł: Kiedy przeszczep jest najlepszym rozwiązaniem?
Przeszczep dziąsła jest jedną z najczęściej stosowanych i najskuteczniejszych metod chirurgicznej odbudowy tkanki dziąsłowej. Procedura polega na pobraniu niewielkiego fragmentu tkanki łącznej, zazwyczaj z podniebienia pacjenta, i przeszczepieniu go w miejsce recesji. Zabieg ten pozwala na pokrycie odsłoniętych szyjek i korzeni zębowych, co redukuje nadwrażliwość, chroni przed próchnicą korzenia i znacząco poprawia estetykę uśmiechu. Jest to szczególnie polecane w przypadkach znacznego odsłonięcia korzeni lub gdy recesja jest bardzo widoczna.
Sterowana regeneracja tkanek: Jak nauka pomaga odbudować to, co utracone
Metoda sterowanej regeneracji tkanek (GBR - Guided Bone Regeneration) to zaawansowana technika, która wykorzystuje specjalne materiały, takie jak błony zaporowe i biomateriały kościozastępcze. Błony te tworzą barierę, która zapobiega wrastaniu tkanki dziąsłowej i nabłonka do ubytku kostnego, jednocześnie pozwalając na regenerację kości i przyzębia. Jest to podejście innowacyjne, które stymuluje naturalne procesy odbudowy w miejscu utraty tkanki.
Pinhole Surgical Technique: Małoinwazyjna rewolucja w leczeniu odsłoniętych szyjek
Coraz większą popularność zdobywa Pinhole Surgical Technique (PST), znana również jako metoda Pinhole. Jest to technika małoinwazyjna, która pozwala na odbudowę dziąseł bez konieczności pobierania tkanki z podniebienia. Polega ona na wykonaniu niewielkiego otworu w dziąśle, przez który specjalistycznymi narzędziami tkanka jest delikatnie naciągana i rozluźniana, a następnie stabilizowana w nowej pozycji, pokrywając odsłonięty korzeń zęba. Metoda ta charakteryzuje się mniejszym bólem pooperacyjnym, szybszą rekonwalescencją i często lepszymi efektami estetycznymi.
Jak wygląda proces leczenia i czego możesz się spodziewać?
Proces leczenia recesji dziąseł zazwyczaj rozpoczyna się od szczegółowej konsultacji z periodontologiem. Specjalista przeprowadzi dokładne badanie, oceni stopień recesji, zidentyfikuje przyczyny i zaproponuje indywidualny plan leczenia. Po wyborze odpowiedniej metody czy będzie to zabieg chirurgiczny, czy inna procedura pacjent zostanie poinformowany o przebiegu zabiegu, możliwych odczuciach bólowych (zazwyczaj minimalnych dzięki znieczuleniu miejscowemu) oraz okresie rekonwalescencji. Ważne jest, aby po zabiegu stosować się do zaleceń lekarza dotyczących higieny i diety, aby zapewnić prawidłowe gojenie i trwałość efektów.
Przyszłość Twojego uśmiechu: Jak żyć po leczeniu i zapobiegać nawrotom
Leczenie recesji dziąseł to często dopiero początek drogi do utrzymania zdrowego uśmiechu na lata. Kluczowe jest, aby po zabiegu kontynuować odpowiednią profilaktykę i regularnie odwiedzać specjalistę.
Długoterminowa strategia: Rola regularnych wizyt kontrolnych u periodontologa
Po zakończeniu leczenia recesji dziąseł niezbędne są regularne wizyty kontrolne u periodontologa. Tylko specjalista jest w stanie na bieżąco monitorować stan dziąseł, ocenić stabilność przeszczepionej tkanki, wcześnie wykryć ewentualne nawroty choroby lub inne problemy i wdrożyć odpowiednie działania zapobiegawcze. Regularne kontrole pozwalają utrzymać efekty leczenia i zapobiec powrotowi problemu.
Codzienna rutyna, która chroni: Jak utrzymać efekty leczenia na lata?
Aby cieszyć się zdrowymi dziąsłami i zachować efekty leczenia przez długie lata, kluczowe jest wdrożenie i utrzymanie odpowiedniej codziennej rutyny higienicznej. Pamiętaj o:
- Delikatnym szczotkowaniu miękką szczoteczką z użyciem pasty z fluorem.
- Dokładnym czyszczeniu przestrzeni międzyzębowych nicią dentystyczną lub szczoteczkami międzyzębowymi każdego dnia.
- Unikaniu szkodliwych nawyków, takich jak palenie papierosów.
- Regularnym stosowaniu zaleconych przez lekarza płynów do płukania jamy ustnej.
- Zdrowej, zbilansowanej diecie.
Połączenie tych działań z regularnymi wizytami u stomatologa i periodontologa to najlepsza strategia na utrzymanie zdrowego i pięknego uśmiechu.
