Zmiana na dziąśle może być powodem do niepokoju, zwłaszcza gdy pojawia się niespodziewanie i nie wiemy, z czym mamy do czynienia. Jedną z takich zmian jest torbiel, która choć brzmi groźnie, często jest łagodna i możliwa do wyleczenia. W tym artykule przyjrzymy się bliżej temu zagadnieniu jak wygląda torbiel, jakie mogą być jej przyczyny, objawy, a przede wszystkim, kiedy należy zgłosić się do stomatologa. Moim celem jest dostarczenie Ci rzetelnych informacji, które pomogą Ci zrozumieć tę dolegliwość i podjąć właściwe kroki w celu ochrony Twojego zdrowia jamy ustnej.
Torbiel na dziąśle co to jest, jak ją rozpoznać i kiedy iść do dentysty?
- Torbiel to gładkie, okrągłe lub owalne uwypuklenie na dziąśle, zazwyczaj w kolorze dziąsła, ale może być też białawe, żółtawe lub siniawe.
- Objawy obejmują ból, obrzęk, uczucie rozpierania, a czasem nieprzyjemny smak w ustach, choć małe torbiele często są bezobjawowe.
- Najczęstszą przyczyną jest przewlekły stan zapalny miazgi martwego zęba lub nieprawidłowo przeprowadzone leczenie kanałowe.
- Ropień to ostry, bolesny stan zapalny z ropą, torbiel rośnie powoli i często bezboleśnie.
- Diagnoza opiera się na badaniu stomatologicznym i zdjęciu RTG, w skomplikowanych przypadkach tomografii komputerowej (CBCT).
- Nieleczona torbiel niszczy kość, może prowadzić do utraty zębów i nadkażeń, rzadko transformuje nowotworowo.
- Leczenie obejmuje leczenie kanałowe, chirurgiczne wyłuszczenie, resekcję wierzchołka korzenia lub ekstrakcję zęba.

Jak dokładnie wygląda torbiel? Opis krok po kroku
Torbiel na dziąśle najczęściej manifestuje się jako gładkie, okrągłe lub owalne uwypuklenie. Jej wygląd może nieco się różnić w zależności od tego, jak długo jest obecna i co się w niej znajduje. Czasem jest to niewielka zmiana, ledwo wyczuwalna, a innym razem może osiągnąć pokaźne rozmiary, wpływając na estetykę uśmiechu i komfort pacjenta.
Typowy kolor, kształt i rozmiar zmiany na dziąśle
Jeśli chodzi o kolor, torbiel zazwyczaj jest zbliżona barwą do otaczającego dziąsła. Jednakże, w zależności od stanu zapalnego lub zawartości, może przybierać odcienie białawe, żółtawe, a nawet sinawy. Kształt najczęściej jest regularny okrągły lub owalny. Rozmiar jest bardzo zmienny; od kilku milimetrów, które można łatwo przeoczyć, po zmiany przekraczające centymetr średnicy.
Czy torbiel jest twarda czy miękka w dotyku?
Odczucie w dotyku również może być różne. Torbiel może być wyczuwalna jako zmiana twarda, przypominająca kostkę, ale równie dobrze może być miękka i lekko sprężysta, co często świadczy o obecności płynu w jej wnętrzu. Ta zmienność w odczuciu jest kolejnym aspektem, który sprawia, że dokładna diagnoza jest kluczowa.
Jakie objawy, oprócz guzka, powinny zwrócić twoją uwagę?
Ból, obrzęk, a może uczucie rozpierania co możesz odczuwać?
Chociaż niektóre torbiele mogą rozwijać się bezobjawowo, często towarzyszą im pewne dolegliwości. Możesz odczuwać tępy, ćmiący ból w okolicy zmiany, który może nasilać się podczas nacisku, na przykład podczas jedzenia. Często występuje również obrzęk dziąsła, a nawet okolicznych tkanek, co może dawać nieprzyjemne uczucie rozpierania. W niektórych przypadkach można zaobserwować przemieszczenie lub rozchwianie zębów znajdujących się w pobliżu torbieli.
Nieprzyjemny smak w ustach czy to może być sygnał z torbieli?
Tak, nieprzyjemny smak w ustach może być sygnałem świadczącym o obecności torbieli. Dzieje się tak, gdy z torbieli zaczyna wydobywać się płyn może to być płyn surowiczy lub, w przypadku nadkażenia, ropa. Ten nieprzyjemny posmak jest często pierwszym sygnałem, który skłania pacjentów do poszukiwania przyczyny.
Dlaczego niektóre torbiele nie bolą i są wykrywane przypadkiem?
Wiele torbieli, zwłaszcza te małe, rozwija się bardzo powoli i nie uciska na nerwy ani otaczające tkanki. Dlatego też mogą nie dawać żadnych objawów bólowych. Często takie zmiany są wykrywane przypadkowo podczas rutynowego badania stomatologicznego, kiedy pacjent wykonuje zdjęcie rentgenowskie z innych powodów. To pokazuje, jak ważne są regularne kontrole u dentysty.
Skąd się bierze torbiel na dziąśle? Poznaj najczęstsze przyczyny
Martwy ząb jako główny winowajca rola przewlekłego stanu zapalnego
Najczęściej torbiele na dziąśle, zwane torbielami korzeniowymi lub zębopochodnymi, powstają w wyniku długotrwałego, przewlekłego stanu zapalnego. Dzieje się tak, gdy miazga zęba obumiera na przykład z powodu głębokiej próchnicy, urazu lub nieleczonego zapalenia. Organizm próbuje odizolować ten stan zapalny, tworząc wokół niego torebkę, która z czasem może wypełnić się płynem, tworząc torbiel.
Nieprawidłowe leczenie kanałowe a ryzyko powstania zmiany
Niestety, nawet po leczeniu kanałowym torbiel może się pojawić. Dzieje się tak, gdy leczenie kanałowe nie zostało przeprowadzone w pełni skutecznie na przykład gdy nie udało się oczyścić wszystkich kanałów korzeniowych, lub gdy pozostały w nich bakterie. W takich sytuacjach proces zapalny może trwać nadal, prowadząc do powstania torbieli przy wierzchołku korzenia.
Zatrzymane ósemki i inne nieprawidłowości rozwojowe
Innymi przyczynami powstawania torbieli mogą być zęby zatrzymane, czyli takie, które nie przebiły się przez dziąsło w prawidłowy sposób najczęściej dotyczy to tzw. ósemek, czyli zębów mądrości. Torbiele mogą również rozwijać się z pozostałości tkanek, które brały udział w procesie tworzenia się zębów. Czasem przyczyną mogą być również urazy mechaniczne w obrębie jamy ustnej.
Torbiel na dziąśle u dziecka czy zawsze jest powodem do niepokoju?
U dzieci możemy spotkać się z pewnymi specyficznymi zmianami, które często są niegroźne. Przykładem mogą być tzw. perły Epsteina lub guzki Bohna. Są to niewielkie, białawe cysty pojawiające się na dziąsłach noworodków i niemowląt, które zazwyczaj znikają samoistnie w ciągu kilku pierwszych miesięcy życia i nie wymagają leczenia. Jednak każdą niepokojącą zmianę u dziecka warto skonsultować ze stomatologiem.
Torbiel, ropień czy afta? Naucz się odróżniać te zmiany
Różnice w objawach bólowych co wskazuje na ostry stan zapalny?
Kluczową różnicą między torbielą a ropniem jest intensywność bólu. Ropień to ostry stan zapalny, który zazwyczaj jest bardzo bolesny, często pulsujący. Ból jest silny i narasta. Torbiel natomiast, jak już wspominałem, często jest bezbolesna lub daje jedynie tępy, ćmiący dyskomfort. Ostry, silny ból jest więc silnym sygnałem, że mamy do czynienia raczej z ropniem niż z torbielą.
Wygląd i tempo wzrostu klucz do odróżnienia torbieli od ropnia
Wygląd również jest ważnym wskaźnikiem. Ropień często objawia się jako zaczerwienione, ucieplone i wyraźnie obrzęknięte miejsce na dziąśle, z widocznym gromadzeniem się ropy. Może mieć też białawy czubek. Torbiel ma bardziej "spokojny" wygląd, jest to raczej gładkie uwypuklenie, a jej wzrost jest powolny. Ropień rozwija się zazwyczaj szybko, w ciągu kilku dni, podczas gdy torbiel może rosnąć miesiącami, a nawet latami.

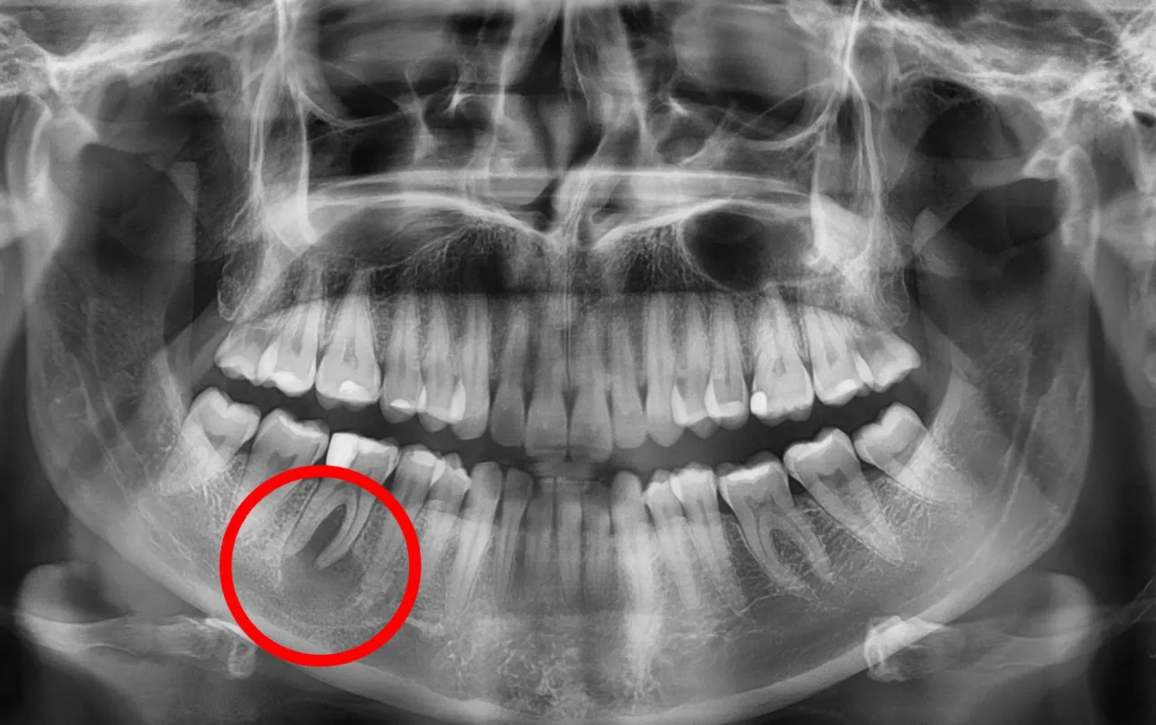
Jak stomatolog stawia diagnozę? Tych badań możesz się spodziewać
Rola zdjęcia RTG w wykrywaniu torbieli ukrytych pod dziąsłem
Podstawą diagnozy torbieli jest wizyta u stomatologa, który przeprowadzi dokładne badanie jamy ustnej. Jednak sam ogląd i palpacja często nie wystarczą, aby ocenić charakter i rozmiar zmiany, zwłaszcza jeśli znajduje się ona przy korzeniu zęba. Dlatego kluczową rolę odgrywa diagnostyka obrazowa. Podstawowym badaniem jest zdjęcie rentgenowskie pantomograficzne (obejmujące całe uzębienie) lub punktowe (skupione na konkretnym zębie). Pozwala ono uwidocznić zmiany kostne wokół wierzchołka korzenia, które są typowe dla torbieli.
Kiedy konieczna jest bardziej zaawansowana diagnostyka, np. tomografia?
W przypadkach bardziej skomplikowanych, kiedy chcemy uzyskać jeszcze dokładniejszy obraz sytuacji, stomatolog może zlecić tomografię komputerową (CBCT). Jest to badanie trójwymiarowe, które pozwala na precyzyjną ocenę wielkości i kształtu torbieli, jej relacji do otaczających struktur anatomicznych, takich jak nerwy czy zatoki szczękowe. Jest to szczególnie ważne przed planowaniem leczenia chirurgicznego.
Czy torbiel na dziąśle jest groźna? Konsekwencje zaniechania leczenia
Niszczenie kości i ryzyko utraty zębów cichy wróg w Twojej jamie ustnej
Nieleczona torbiel, mimo że często rozwija się bezboleśnie, stanowi realne zagrożenie dla zdrowia. Jej powolny wzrost prowadzi do stopniowego niszczenia kości szczęki lub żuchwy, w której jest zlokalizowana. Może to osłabić zęby znajdujące się w pobliżu, prowadzić do ich przemieszczenia, a w skrajnych przypadkach nawet do utraty zębów. Co gorsza, postępujące niszczenie kości może zwiększać ryzyko tzw. złamań patologicznych, czyli złamania kości pod wpływem niewielkiego urazu.
Ryzyko nadkażenia i powstania bolesnego ropnia
Kolejnym poważnym ryzykiem jest nadkażenie bakteryjne torbieli. Kiedy do wnętrza torbieli dostaną się bakterie, może dojść do ostrego stanu zapalnego, który przekształci się w bolesny ropień. Jest to stan wymagający natychmiastowej interwencji stomatologicznej, często związany z silnym bólem, gorączką i ogólnym złym samopoczuciem.
Czy torbiel może przekształcić się w nowotwór?
Warto podkreślić, że zdecydowana większość torbieli na dziąśle to zmiany łagodne. Jednakże, istnieją pewne rzadkie typy torbieli, na przykład torbiel rogowaciejąca, które mają większą tendencję do nawrotów i w bardzo rzadkich przypadkach mogą ulec transformacji nowotworowej. Dlatego tak ważne jest, aby nie lekceważyć żadnej zmiany i poddać ją profesjonalnej diagnostyce.

Nowoczesne metody leczenia torbieli: co może zaproponować Ci dentysta?
Leczenie kanałowe jako próba uratowania zęba przyczynowego
Jeśli torbiel powstała w wyniku problemów z martwym zębem, pierwszym i często skutecznym etapem leczenia jest ponowne, dokładne leczenie kanałowe. Celem jest usunięcie źródła infekcji z wnętrza zęba, co pozwala organizmowi na zagojenie się zmiany. Jest to metoda zachowawcza, która pozwala ocalić naturalny ząb.
Na czym polega chirurgiczne usunięcie torbieli (wyłuszczenie)?
Gdy leczenie kanałowe nie przynosi rezultatów lub gdy torbiel jest duża, konieczne może być leczenie chirurgiczne. Jedną z metod jest wyłuszczenie torbieli. Polega ono na chirurgicznym usunięciu całej zmiany wraz z jej torebką. Zabieg ten wykonuje się zazwyczaj w znieczuleniu miejscowym, a po jego przeprowadzeniu rana jest zaszywana.
Resekcja wierzchołka korzenia zabieg, który może ocalić Twój ząb
Inną metodą chirurgiczną jest resekcja wierzchołka korzenia. Jest to bardziej zaawansowany zabieg, który polega na usunięciu fragmentu korzenia zęba wraz z zalegającą przy nim torbielą. Po usunięciu zmienionej tkanki, kanał korzeniowy jest wypełniany specjalnym materiałem. Ta metoda również ma na celu ocalenie zęba, który w innym przypadku musiałby zostać usunięty.
Kiedy ekstrakcja zęba jest nieunikniona?
Niestety, w niektórych sytuacjach, gdy ząb jest już bardzo zniszczony przez próchnicę, choroby przyzębia lub gdy sama torbiel spowodowała znaczne uszkodzenie kości, jedynym rozwiązaniem może być jego ekstrakcja, czyli usunięcie. Zabieg ten często obejmuje również usunięcie towarzyszącej torbieli.
Przeczytaj również: Stan zapalny dziąseł: Leczenie domowe i profesjonalne - jak działa?
Zmiana na dziąśle nie zniknie sama: kiedy absolutnie musisz umówić się na wizytę?
Każdy guzek wymaga konsultacji dlaczego nie warto zwlekać?
Chciałbym na koniec mocno podkreślić: każda nowa, niepokojąca zmiana na dziąśle, niezależnie od tego, czy jest to guzek, wybrzuszenie, czy nawet drobna ranka, która nie chce się goić, wymaga konsultacji stomatologicznej. Nie warto zwlekać, ponieważ torbiel, jak już omówiliśmy, może prowadzić do poważnych konsekwencji, takich jak niszczenie kości czy nadkażenia. Im szybciej zostanie zdiagnozowana i leczona, tym lepsze rokowania i mniejsze ryzyko powikłań.
Objawy alarmowe, które świadczą o konieczności pilnej interwencji
- Silny, narastający ból, który nie ustępuje po lekach przeciwbólowych.
- Szybko rosnący obrzęk dziąsła lub całej twarzy.
- Pojawienie się gorączki i ogólnego złego samopoczucia, które mogą świadczyć o rozwijającej się infekcji.
- Trudności w otwieraniu ust, przełykaniu lub mówieniu.
- Widoczne wydobywanie się ropy z guzka lub przetoki.
