Wielu pacjentów, zwłaszcza tych palących, odczuwa pewien niepokój przed wizytą u dentysty. Obawiają się oceny lub zastanawiają się, czy ich nałóg jest widoczny dla specjalisty. Ten artykuł jest dla Ciebie, jeśli chcesz dowiedzieć się, co dokładnie widzi dentysta i jakie są konsekwencje palenia dla Twojego uśmiechu, a wszystko to przedstawione w sposób rzeczowy i bez oceniania.
Przeczytaj również: Dentysta: Co robi? Poznaj zakres pracy, wizyty i specjalizacje
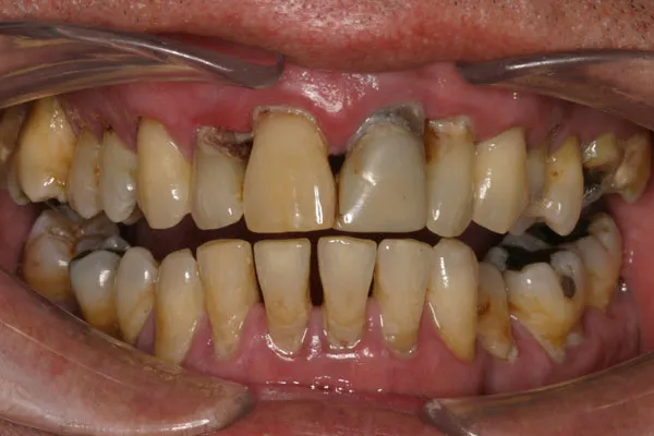
Dentysta widzi więcej, niż myślisz jak stomatolog rozpoznaje palenie?
- Stomatolog jest w stanie niemal zawsze rozpoznać osobę palącą po charakterystycznych przebarwieniach, osadzie i zapachu.
- Palenie maskuje objawy zapalenia dziąseł, prowadząc do ich niedotlenienia i zwłóknienia, co sprzyja rozwojowi paradontozy.
- Nikotyna powoduje suchość w ustach (kserostomię), zwiększając ryzyko próchnicy i infekcji.
- U palaczy częściej występują stany przedrakowe (leukoplakia) oraz znacznie wzrasta ryzyko raka jamy ustnej.
- E-papierosy, mimo braku substancji smolistych, również negatywnie wpływają na dziąsła i sprzyjają próchnicy.
- Dentysta jest sojusznikiem, który może pomóc w rzuceniu nałogu i minimalizowaniu szkód, a szczerość podczas wizyty jest kluczowa.
Dentysta wie, czy palisz? Niewidoczne dla Ciebie znaki
Jako stomatolog, mogę śmiało powiedzieć, że niemal zawsze jestem w stanie rozpoznać pacjenta palącego już na pierwszy rzut oka, a nawet po samym zapachu. Charakterystyczne, żółtawe lub brązowe przebarwienia na zębach, wynikające z osadzania się substancji smolistych, to jeden z najbardziej oczywistych sygnałów. Do tego dochodzi specyficzny osad, który przylega do szkliwa i jest trudniejszy do usunięcia niż zwykła płytka nazębna. Często towarzyszy temu również nieprzyjemny zapach z ust, który jest trudny do zamaskowania nawet intensywnym myciem zębów.
Dlaczego mycie zębów tuż przed wizytą nie ukryje nałogu?
Wielu pacjentów stara się "zatuszować" swój nałóg, intensywnie szczotkując zęby tuż przed wizytą. Niestety, jest to działanie w dużej mierze nieskuteczne. Długotrwałe palenie powoduje zmiany, które sięgają znacznie głębiej niż tylko powierzchowna warstwa szkliwa. Mowa tu o trwałych przebarwieniach w strukturze zęba, specyficznym osadzie, który wnika w mikroszczeliny, a także o zmianach w wyglądzie i kondycji dziąseł, które nie znikną po kilkuminutowym wysiłku higienicznym. Dentysta widzi te głębsze ślady nałogu.

Konkretne znaki, które zdradzają nałóg palenia
Substancje zawarte w dymie papierosowym, przede wszystkim smoła i nikotyna, pozostawiają w jamie ustnej bardzo wyraźne ślady. Smoła powoduje wspomniane już żółto-brązowe przebarwienia, które z czasem stają się coraz trudniejsze do usunięcia. Osad nazębny u palaczy często jest bardziej zbity i przylega mocniej do powierzchni zębów, tworząc tzw. "płytkę palacza".
Palenie ma również destrukcyjny wpływ na dziąsła. Nikotyna powoduje obkurczanie naczyń krwionośnych, co prowadzi do niedotlenienia tkanek dziąseł. W efekcie, mimo toczącego się stanu zapalnego, dziąsła palacza często nie krwawią podczas szczotkowania, co może dawać fałszywe poczucie zdrowia. Zamiast zaczerwienienia, widzimy blade, a czasem wręcz zwłókniałe dziąsła, które zaczynają się obniżać.
Kolejnym, bardzo dokuczliwym skutkiem palenia jest kserostomia, czyli uczucie suchości w ustach. Nikotyna znacząco ogranicza produkcję śliny, która jest naszym naturalnym "płynem do płukania" jamy ustnej. Brak odpowiedniego nawilżenia sprzyja namnażaniu się bakterii, co z kolei zwiększa ryzyko rozwoju próchnicy, chorób dziąseł, a nawet infekcji grzybiczych.
Poważne konsekwencje palenia dla zdrowia jamy ustnej
Skutki palenia dla zdrowia jamy ustnej wykraczają daleko poza kwestie estetyczne. Jedną z najpoważniejszych konsekwencji jest paradontoza. Niedotlenione i osłabione dziąsła stają się podatne na infekcje bakteryjne, co prowadzi do niszczenia tkanki kostnej otaczającej zęby. W efekcie dochodzi do obniżania się linii dziąseł, odsłaniania szyjek zębowych, a w skrajnych przypadkach nawet do utraty zębów.
U palaczy znacznie częściej obserwuje się również leukoplakię, czyli rogowacenie białe. Są to białe lub szarawe plamy pojawiające się na błonie śluzowej jamy ustnej, na języku czy wewnętrznej stronie policzków. Warto podkreślić, że leukoplakia jest zmianą o charakterze przedrakowym i wymaga natychmiastowej konsultacji stomatologicznej oraz obserwacji.
Najbardziej dramatyczną konsekwencją palenia jest jednak znacząco zwiększone ryzyko rozwoju nowotworów w obrębie jamy ustnej. Badania jednoznacznie wskazują, że palacze są nawet 4 razy bardziej narażeni na zachorowanie na raka jamy ustnej, języka czy gardła w porównaniu do osób niepalących. Jest to jeden z głównych czynników ryzyka tych groźnych chorób.
Na koniec warto wspomnieć o wpływie palenia na proces gojenia. Nikotyna upośledza krążenie krwi i dostarczanie tlenu do tkanek, co znacząco spowalnia regenerację. Jest to szczególnie istotne po wszelkiego rodzaju zabiegach chirurgicznych w jamie ustnej, takich jak usunięcie zęba, ekstrakcja ósemek czy wszczepienie implantów stomatologicznych.
Palacze są nawet 4 razy bardziej narażeni na choroby jamy ustnej niż osoby niepalące, a ryzyko raka jamy ustnej jest w tej grupie znacząco podwyższone.

E-papierosy i ich wpływ na jamę ustną
Warto zaznaczyć, że nawet e-papierosy, które często postrzegane są jako "bezpieczniejsza" alternatywa, również mają negatywny wpływ na zdrowie jamy ustnej, a dentysta jest w stanie to zauważyć. Choć nie zawierają substancji smolistych, które odpowiadają za większość przebarwień, to nadal dostarczają do organizmu nikotynę. Ta sama nikotyna powoduje obkurczanie naczyń krwionośnych, prowadząc do problemów z dziąsłami, podobnych do tych obserwowanych u palaczy tradycyjnych papierosów niedotlenienia i zwiększonego ryzyka chorób przyzębia.
Dodatkowo, składniki liquidów, takie jak glikol propylenowy i gliceryna, mogą sprzyjać rozwojowi bakterii w jamie ustnej. Powodują również uczucie suchości, podobne do kserostomii wywołanej tradycyjnymi papierosami, co zwiększa ryzyko próchnicy i innych schorzeń. Zatem, mimo braku dymu, e-papierosy nie są obojętne dla zdrowia naszych zębów i dziąseł.
Dentysta jako sojusznik w walce z nałogiem
Chciałbym podkreślić, że jako stomatolodzy, nie jesteśmy tu po to, by oceniać. Naszym głównym celem jest dbanie o Wasze zdrowie jamy ustnej. Dlatego tak ważne jest, abyście byli ze mną szczerzy podczas wizyty. Mówiąc otwarcie o swoim nałogu, nawet jeśli jest to palenie, pomagacie mi postawić właściwą diagnozę i zaplanować najskuteczniejsze leczenie, uwzględniając wszystkie czynniki ryzyka.
Regularne wizyty kontrolne i profesjonalne zabiegi higienizacyjne, takie jak skaling czy piaskowanie, są niezwykle ważne dla palaczy. Pozwalają one na bieżąco usuwać osad i kamień nazębny, minimalizować ryzyko chorób dziąseł i utrzymywać jamę ustną w jak najlepszym stanie, pomimo negatywnego wpływu nałogu.
Co więcej, dentysta może być cennym wsparciem w procesie rzucania palenia. Rozmowa o skutkach zdrowotnych, motywowanie do podjęcia próby zerwania z nałogiem, a nawet skierowanie do specjalistycznych poradni antynikotynowych to wszystko elementy, w których możemy pomóc. Pamiętajcie, że jestem Waszym sojusznikiem w walce o zdrowy uśmiech i lepsze samopoczucie.
