Alergia na nikiel w jamie ustnej może być przyczyną wielu nieprzyjemnych dolegliwości, takich jak uporczywe pieczenie, zaczerwienienie czy metaliczny posmak. Często jest bagatelizowana lub mylona z innymi schorzeniami, co utrudnia postawienie właściwej diagnozy. Jeśli doświadczasz podobnych objawów, ten artykuł pomoże Ci zrozumieć, czy to właśnie alergia na nikiel jest ich źródłem, jakie są potencjalne przyczyny i jak sobie z nią radzić.
Uporczywe pieczenie, zaczerwienienie i metaliczny posmak w ustach mogą wskazywać na alergię na nikiel dowiedz się, jak ją rozpoznać i leczyć.
- Alergia na nikiel to najczęstsza alergia kontaktowa, objawiająca się z opóźnieniem.
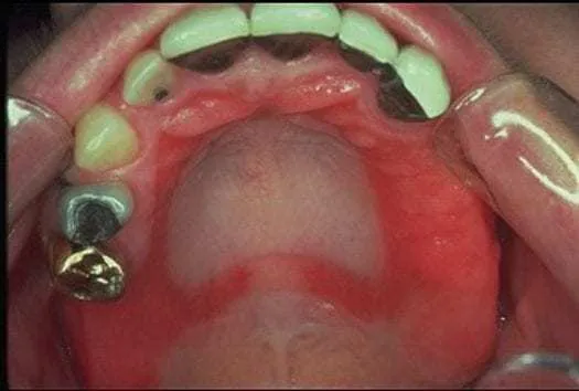
- Główne źródła niklu w jamie ustnej to aparaty ortodontyczne, protezy, korony i mosty.
- Typowe objawy to pieczenie, zaczerwienienie, obrzęk, suchość, metaliczny posmak oraz pęcherzyki i nadżerki.
- Diagnozuje się ją za pomocą naskórkowych testów płatkowych.
- Leczenie polega na eliminacji alergenu i stosowaniu materiałów bezniklowych.
- Alergia na nikiel może być przyczyną Zespołu Pieczenia Jamy Ustnej (BMS).

Objawy alergii na nikiel w jamie ustnej co powinno cię zaniepokoić?
Alergia na nikiel w obrębie jamy ustnej manifestuje się na wiele sposobów, często przypominając inne schorzenia błony śluzowej. Kluczowe jest zwrócenie uwagi na pewne charakterystyczne symptomy, które mogą świadczyć o reakcji uczuleniowej. Oto objawy, które powinny wzbudzić Twoją czujność:
- Uporczywe pieczenie błony śluzowej: Jest to jeden z najbardziej dokuczliwych objawów, często opisywany jako uczucie palenia języka, policzków lub dna jamy ustnej. Może być stałe lub nasilać się w określonych sytuacjach.
- Zaczerwienienie i rumień: Błona śluzowa jamy ustnej może stać się wyraźnie zaczerwieniona, czasem z widocznym obrzękiem. Zmiany te mogą być zlokalizowane lub obejmować większe obszary.
- Suchość w ustach: Alergia na nikiel może prowadzić do uczucia nadmiernej suchości w jamie ustnej, co z kolei może powodować dyskomfort podczas jedzenia i mówienia.
- Metaliczny posmak: Niektórzy pacjenci zgłaszają obecność nieprzyjemnego, metalicznego posmaku w ustach, który nie ustępuje po umyciu zębów.
- Pękanie i pieczenie czerwieni wargowej: Objawy alergii mogą dotyczyć również warg, prowadząc do ich suchości, pękania i uczucia pieczenia.
- Pęcherzyki i nadżerki: W bardziej nasilonych przypadkach mogą pojawić się małe pęcherzyki wypełnione płynem, które następnie pękają, tworząc bolesne nadżerki na błonie śluzowej.
Czym jest kontaktowe zapalenie jamy ustnej (stomatitis contacta)?
Kontaktowe zapalenie błony śluzowej jamy ustnej, znane również jako stomatitis contacta, to stan zapalny wywołany bezpośrednim kontaktem błony śluzowej z substancją uczulającą lub drażniącą. W kontekście alergii na nikiel, jest to właśnie jedna z głównych form, w jakiej objawia się reakcja alergiczna. Nikiel, uwalniając się z materiałów stomatologicznych, działa jako alergen, prowadząc do miejscowego stanu zapalnego błony śluzowej jamy ustnej.
Dlaczego objawy mogą pojawić się nagle, nawet po latach?
Alergia na nikiel jest klasyfikowana jako reakcja typu opóźnionego. Oznacza to, że organizm potrzebuje czasu, aby wykształcić nadwrażliwość na ten metal. Z tego powodu objawy alergiczne nie pojawiają się natychmiast po pierwszym kontakcie, ale mogą ujawnić się po wielokrotnym lub długotrwałym narażeniu. Co więcej, nawet jeśli przez lata nie doświadczałeś żadnych problemów, układ odpornościowy może nagle "zdecydować" zareagować na obecność niklu, prowadząc do pojawienia się objawów alergicznych nawet po wielu latach noszenia aparatu ortodontycznego czy posiadania metalowych uzupełnień protetycznych.
Czy alergii w ustach mogą towarzyszyć zmiany na skórze?
Absolutnie tak. Reakcja alergiczna na nikiel ma charakter systemowy, co oznacza, że nie ogranicza się wyłącznie do miejsca pierwszego kontaktu. U osób uczulonych na nikiel, objawy mogą manifestować się również na skórze. Często obserwuje się zmiany skórne w postaci wyprysku kontaktowego, zaczerwienienia, swędzenia czy grudek na twarzy (szczególnie w okolicy ust i uszu), dłoniach, a nawet w innych odległych częściach ciała. Jest to ważna wskazówka diagnostyczna, sugerująca ogólną nadwrażliwość na ten metal.

Potencjalne źródła niklu w jamie ustnej sprawdź, co może być przyczyną
Nikiel jest powszechnie stosowanym metalem w wielu dziedzinach, w tym w stomatologii. Jego obecność w jamie ustnej może prowadzić do reakcji alergicznych u osób predysponowanych. Zrozumienie potencjalnych źródeł jest kluczowe dla prawidłowej diagnozy i leczenia.
Aparat ortodontyczny najczęstsze źródło alergii u młodych osób
Aparaty ortodontyczne, zwłaszcza te wykonane z tradycyjnych stopów metali, są jednym z najczęstszych winowajców alergii na nikiel u dzieci i młodzieży. Metalowe łuki, zamki, a także ligatury (gumki lub druciki przytrzymujące łuk w zamku) mogą zawierać nikiel. Jony niklu mogą stopniowo uwalniać się do środowiska jamy ustnej pod wpływem śliny i czynników mechanicznych, wywołując reakcję alergiczną u osób wrażliwych. Dlatego tak ważne jest, aby ortodonta był poinformowany o potencjalnej alergii na nikiel pacjenta, co pozwoli na zastosowanie alternatywnych, bezniklowych rozwiązań.
Protezy, korony i mosty czy twoje uzupełnienia są bezpieczne?
Inne popularne uzupełnienia stomatologiczne również mogą stanowić źródło niklu. Protezy szkieletowe, które często posiadają metalowy stelaż, mogą zawierać stopy metali nieszlachetnych bogatych w nikiel. Podobnie, korony i mosty protetyczne wykonane z niektórych stopów metali, zwłaszcza tych tańszych, mogą uwalniać jony niklu. Choć nowoczesne materiały protetyczne są coraz bezpieczniejsze, zawsze warto dopytać swojego dentystę o skład użytych stopów, szczególnie jeśli masz historię alergii.
Implanty zębowe a ryzyko uczulenia na nikiel
Implanty zębowe są zazwyczaj wykonane z czystego tytanu lub stopów tytanu, które są uważane za materiały biokompatybilne i hipoalergiczne. Tytan sam w sobie rzadko wywołuje reakcje alergiczne. Jednakże, w niektórych przypadkach, szczególnie przy stosowaniu tańszych zamienników lub w elementach łączących, mogą występować śladowe ilości niklu. Dlatego, jeśli masz zdiagnozowaną alergię na nikiel, zawsze poinformuj o tym swojego implantologa, aby upewnić się, że użyte materiały są w pełni bezpieczne.
Czy sztućce, naczynia lub pokarm mogą nasilać problem?
Chociaż główne i najbardziej znaczące źródła niklu w jamie ustnej to materiały stomatologiczne, teoretycznie kontakt z niklem w innych obszarach może wpływać na ogólną ekspozycję organizmu. Spożywanie pokarmów bogatych w nikiel (np. kakao, czekolada, orzechy, niektóre warzywa) czy codzienne używanie metalowych sztućców i naczyń może zwiększać ogólną ilość przyjmowanego niklu. Jednakże, w kontekście objawów alergii manifestujących się w jamie ustnej, to właśnie materiały stomatologiczne są najczęściej głównym i bezpośrednim powodem problemu.
Diagnoza alergii na nikiel jak krok po kroku potwierdzić uczulenie?
Postawienie diagnozy alergii na nikiel wymaga odpowiednich badań i konsultacji lekarskich. Proces ten zazwyczaj obejmuje kilka etapów, od wstępnego podejrzenia po potwierdzenie laboratoryjne.
Do jakiego lekarza się udać stomatologa czy alergologa?
Pierwszym krokiem w przypadku podejrzenia alergii na nikiel w jamie ustnej jest zazwyczaj wizyta u stomatologa. Lekarz ten, obserwując objawy w jamie ustnej i wywiad dotyczący stosowanych materiałów stomatologicznych, może wysunąć podejrzenie alergii kontaktowej. Stomatolog często kieruje pacjenta do alergologa, który jest specjalistą od diagnostyki i leczenia chorób alergicznych. Alergolog przeprowadzi dalszą diagnostykę, w tym testy skórne.
Na czym polegają naskórkowe testy płatkowe i jak się do nich przygotować?
Naskórkowe testy płatkowe są uznawane za "złoty standard" w diagnostyce alergii kontaktowej na nikiel. Test polega na przyklejeniu na skórę pleców pacjenta specjalnych plastrów zawierających niewielkie ilości potencjalnych alergenów, w tym siarczan niklu. Następnie, po 48 i 72 godzinach, lekarz ocenia reakcję skórną w miejscu aplikacji. Przygotowanie do testu jest proste: zazwyczaj wymaga unikania stosowania leków antyhistaminowych i kortykosteroidów na skórę w okolicy testowania przez określony czas przed badaniem. Ważne jest, aby poinformować lekarza o wszystkich przyjmowanych lekach.
Interpretacja wyników testu co oznaczają plusy przy wyniku?
Wyniki testów płatkowych interpretuje lekarz alergolog. Pożądana reakcja to zaczerwienienie, obrzęk i obecność grudek w miejscu aplikacji alergenu. Wynik pozytywny jest zazwyczaj oznaczany symbolami plusów: jeden plus (+) oznacza łagodną reakcję, dwa plusy (++) umiarkowaną, a trzy plusy (+++) silną reakcję alergiczną. Nawet łagodna, ale jednoznaczna reakcja na nikiel w teście płatkowym jest podstawą do rozpoznania alergii i wdrożenia odpowiednich środków zaradczych.
Zespół piekących ust (BMS) kiedy objawy są nietypowe
Zespół Pieczenia Jamy Ustnej (BMS - Burning Mouth Syndrome) to stan charakteryzujący się przewlekłym uczuciem pieczenia, palenia lub mrowienia w jamie ustnej, często bez widocznych zmian na błonie śluzowej. Diagnostyka BMS jest złożona, a jedną z potencjalnych przyczyn tego zespołu jest właśnie alergia kontaktowa na metale, w tym nikiel. Jeśli doświadczasz objawów przypominających BMS, zawsze należy rozważyć możliwość alergii na nikiel, zwłaszcza jeśli w jamie ustnej znajdują się metalowe elementy protetyczne lub aparaty ortodontyczne.
Leczenie i skuteczne rozwiązania przy alergii na nikiel
Po zdiagnozowaniu alergii na nikiel kluczowe jest wdrożenie odpowiedniego leczenia i strategii zapobiegawczych, aby złagodzić objawy i uniknąć nawrotów.
Podstawa terapii: eliminacja źródła alergenu z jamy ustnej
Najważniejszym i najskuteczniejszym sposobem leczenia alergii na nikiel jest całkowita eliminacja kontaktu z alergenem. Oznacza to konieczność usunięcia z jamy ustnej wszelkich elementów, które mogą zawierać nikiel. W przypadku aparatów ortodontycznych czy uzupełnień protetycznych, może to oznaczać ich wymianę na materiały hipoalergiczne. Jest to pierwszy i najważniejszy krok do pozbycia się dokuczliwych objawów.
Bezpieczne alternatywy w ortodoncji: aparaty bezniklowe (tytanowe, ceramiczne)
Na szczęście współczesna ortodoncja oferuje bezpieczne alternatywy dla osób uczulonych na nikiel. Dostępne są aparaty ortodontyczne wykonane z materiałów takich jak tytan (który jest hipoalergiczny) lub ceramika. Aparaty tytanowe są doskonałym wyborem, ponieważ nie zawierają niklu i są bardzo wytrzymałe. Aparaty ceramiczne są estetyczne i również wolne od niklu. Wybór odpowiedniego aparatu powinien być zawsze skonsultowany z lekarzem ortodontą, który uwzględni specyfikę alergii pacjenta.
Nowoczesna protetyka: jakie korony i protezy wybrać przy alergii?
W protetyce stomatologicznej również istnieją bezpieczne opcje dla alergików. Protezy akrylowe, które nie zawierają metalowych elementów, są dobrym wyborem. Jeśli chodzi o korony i mosty, korony pełnoceramiczne (np. cyrkonowe lub porcelanowe) są idealnym rozwiązaniem, ponieważ są całkowicie wolne od metali. W przypadku konieczności zastosowania uzupełnień metalowo-ceramicznych, należy upewnić się, że stop metalu użyty do ich wykonania nie zawiera niklu lub zawiera go w minimalnych, nieuczulających ilościach. Zawsze warto pytać o materiały używane przez technika dentystycznego.
Jak złagodzić dokuczliwe objawy? Domowe sposoby i leczenie farmakologiczne
Oprócz eliminacji alergenu, ważne jest łagodzenie istniejących objawów. W tym celu stosuje się leczenie miejscowe, takie jak płukanki o działaniu przeciwzapalnym i łagodzącym (np. z szałwii, rumianku) lub specjalne żele kojące błonę śluzową. W niektórych przypadkach lekarz alergolog może zalecić ogólne leki przeciwhistaminowe, które pomogą zredukować stan zapalny i świąd. Należy pamiętać, że wszelkie leczenie farmakologiczne powinno odbywać się pod ścisłą kontrolą lekarza.
Przeczytaj również: Choroby jamy ustnej: Do jakiego lekarza się udać? | Sprawdź!
Życie z alergią na nikiel codzienna profilaktyka i dbałość o jamę ustną
Świadomość alergii na nikiel i odpowiednie postępowanie na co dzień pozwalają na komfortowe życie i minimalizowanie ryzyka nawrotów objawów.
Zawsze informuj stomatologa o swojej alergii dlaczego to kluczowe?
To absolutnie fundamentalna zasada. Zawsze, bez wyjątku, informuj swojego stomatologa o zdiagnozowanej alergii na nikiel. Ta informacja jest kluczowa dla lekarza przy planowaniu leczenia, dobieraniu materiałów do wypełnień, wykonywaniu koron, mostów czy protez, a także przy leczeniu ortodontycznym. Dzięki temu stomatolog będzie mógł świadomie unikać materiałów zawierających nikiel, zapobiegając tym samym ponownemu pojawieniu się reakcji alergicznej i zapewniając Ci bezpieczeństwo oraz komfort.
Dieta niskoniklowa czy ma sens przy objawach w jamie ustnej?
Kwestia diety niskoniklowej przy alergii na nikiel jest nieco bardziej złożona. Chociaż głównym problemem w przypadku objawów w jamie ustnej są materiały stomatologiczne, to w niektórych przypadkach, szczególnie gdy alergia jest silna lub towarzyszą jej objawy ogólnoustrojowe, lekarz lub dietetyk może zalecić pewne ograniczenia w diecie. Nikiel występuje naturalnie w niektórych produktach spożywczych, takich jak kakao, czekolada, orzechy, rośliny strączkowe czy niektóre warzywa. Jednakże, wprowadzanie diety niskoniklowej powinno odbywać się zawsze po konsultacji ze specjalistą, ponieważ nadmierne ograniczanie pewnych grup produktów może prowadzić do niedoborów żywieniowych.
Na co zwracać uwagę przy wyborze kosmetyków do higieny jamy ustnej?
Chociaż nikiel rzadko jest bezpośrednim składnikiem past do zębów, płynów do płukania ust czy innych produktów do higieny jamy ustnej, warto zachować pewną ostrożność. Osoby z alergią na nikiel powinny wybierać produkty o prostym, hipoalergicznym składzie, najlepiej przeznaczone dla osób z wrażliwymi dziąseniami lub skłonnościami do alergii. Unikaj produktów zawierających potencjalnie drażniące substancje, takie jak silne środki pieniące czy sztuczne barwniki, które mogą dodatkowo podrażniać już nadwrażliwą błonę śluzową jamy ustnej.
