Ortodonta czy dentysta? Poznaj kluczowe różnice i wybierz specjalistę
22 września 2025
Ortodonta to dentysta po specjalizacji. Dowiedz się, czym się różnią, kiedy iść do każdego z nich i jak współpracują dla Twojego zdrowego uśmiechu.
22 września 2025
Ortodonta to dentysta po specjalizacji. Dowiedz się, czym się różnią, kiedy iść do każdego z nich i jak współpracują dla Twojego zdrowego uśmiechu.
21 września 2025
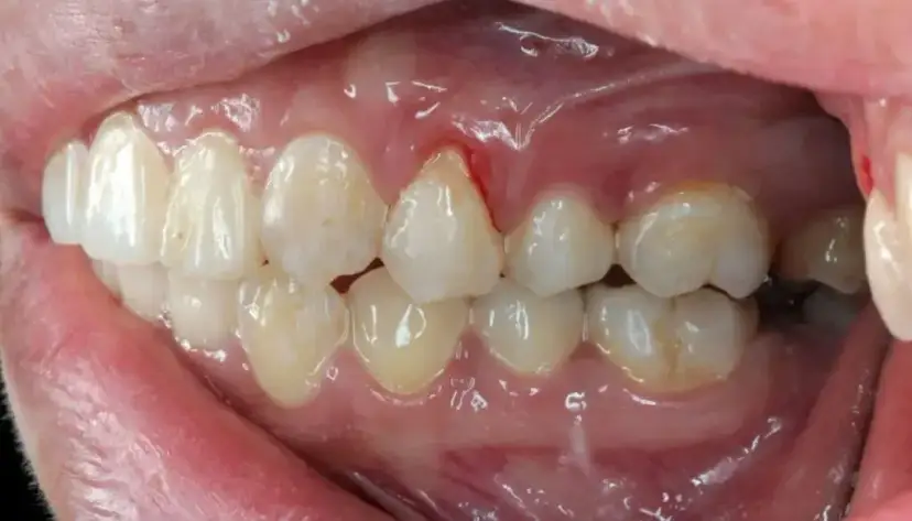
Dowiedz się, jak wygląda rak dziąsła. Poznaj kluczowe objawy, czynniki ryzyka i sprawdź, co robić, gdy zauważysz niepokojące zmiany.
20 września 2025
Czy maseczka u dentysty jest obowiązkowa? Sprawdź aktualne zasady noszenia maseczek w gabinetach stomatologicznych w Polsce i dowiedz się, czego się spodziewać.
19 września 2025
Leki na alergię nie działają? Odkryj przyczyny: błędna diagnoza, stosowanie leków, alergeny. Poznaj skuteczne rozwiązania i metody leczenia.
19 września 2025
Dowiedz się, jak bezpiecznie płukać jamę ustną po ekstrakcji zęba. Poznaj najlepsze płukanki, domowe sposoby i błędy, których unikać.
18 września 2025
Dowiedz się, ile goi się dziąsło po ekstrakcji. Poznaj etapy, czynniki wpływające na gojenie i sprawdzone sposoby na przyspieszenie rekonwalescencji.
18 września 2025
Wycofano lek na nadciśnienie? Sprawdź listę GIF, dowiedz się, co robić i jak bezpiecznie kontynuować leczenie. Pilne informacje!
17 września 2025
Wizyta u dentysty po porodzie jest bezpieczna! Dowiedz się, kiedy i jak bezpiecznie leczyć zęby podczas karmienia piersią. Sprawdź, co musisz wiedzieć.
16 września 2025
Poznaj pełny cennik wybielania zębów w Polsce: metody, koszty, higienizacja i ukryte wydatki. Odkryj, jak zaplanować budżet na biały uśmiech.
16 września 2025
Utknęło Ci jedzenie w dziąśle? Odkryj bezpieczne domowe sposoby jego usunięcia i dowiedz się, kiedy wizyta u dentysty jest konieczna.

22 września 2025

21 września 2025

21 września 2025

20 września 2025

22 września 2025

21 września 2025

20 września 2025

19 września 2025