Zatrzymaj recesję dziąseł! Objawy, przyczyny i skuteczne metody
22 września 2025
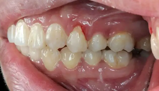
Recesja dziąseł: poznaj objawy, przyczyny i skuteczne metody leczenia. Dowiedz się, jak zapobiegać cofaniu dziąseł i chronić swój uśmiech.
22 września 2025
Recesja dziąseł: poznaj objawy, przyczyny i skuteczne metody leczenia. Dowiedz się, jak zapobiegać cofaniu dziąseł i chronić swój uśmiech.
21 września 2025
Zgorzel zęba to nieznośny ból. Dowiedz się, jak długo boli ząb ze zgorzelą, co przynosi ulgę i dlaczego leczenie jest kluczowe dla zdrowia. Sprawdź!
21 września 2025
Dowiedz się o bezpiecznych metodach znieczulenia u dentysty. Poznaj rodzaje, działanie i rozwiej obawy. Sprawdź nasz przewodnik po bezbolesnym leczeniu.
20 września 2025
Oceń zdrowie swojej jamy ustnej samodzielnie! Dowiedz się, jak rozpoznać zdrowe dziąsła, zęby i język. Sprawdź sygnały alarmowe i zadbaj o swój uśmiech.
20 września 2025
Ból po wyrwaniu zęba? Poznaj domowe sposoby, leki i jak rozpoznać suchy zębodół. Sprawdź, co robić, by szybko poczuć ulgę i prawidłowo się goić.
20 września 2025
Poznaj leki na padaczkę: generacje, dobór przez neurologa, skutki uboczne i lekooporność. Odkryj kompleksowy przewodnik.
19 września 2025
Dowiedz się, kiedy antybiotyk jest naprawdę potrzebny na zapalenie jamy ustnej u dziecka. Poznaj objawy, przyczyny i skuteczne leczenie. Sprawdź nasz poradnik!
19 września 2025
Ciekawi Cię, jak długo dentysta może wystawić L4? Sprawdź, kiedy i na jakiej podstawie otrzymasz zwolnienie po zabiegu stomatologicznym. Dowiedz się więcej!
17 września 2025
Poznaj objawy HPV w jamie ustnej i gardle: od brodawczaków po ryzyko nowotworu. Dowiedz się o diagnostyce, leczeniu i skutecznej profilaktyce w Polsce.
16 września 2025
Dowiedz się, czy znieczulenie u dentysty w ciąży jest bezpieczne. Poznaj bezpieczne preparaty, najlepszy czas na wizytę i prawa pacjentki.

22 września 2025

21 września 2025

20 września 2025

19 września 2025

22 września 2025

21 września 2025

20 września 2025

19 września 2025