Wizyta u dentysty to często coś więcej niż tylko rutynowe sprawdzanie, czy nie pojawiła się próchnica. Wbrew pozorom, gabinet stomatologiczny to miejsce, gdzie można uzyskać cenne informacje o stanie całego organizmu. To właśnie tam, dzięki wprawnemu oku specjalisty i nowoczesnym technologiom, można dostrzec sygnały ostrzegawcze, które mogą umknąć uwadze w innych okolicznościach. W tym artykule odkryjemy, co dokładnie widzi dentysta, zaglądając Ci w usta, i jak wiele może powiedzieć o Twoim zdrowiu.
Dlaczego regularny przegląd to więcej niż tylko sprawdzanie dziur?
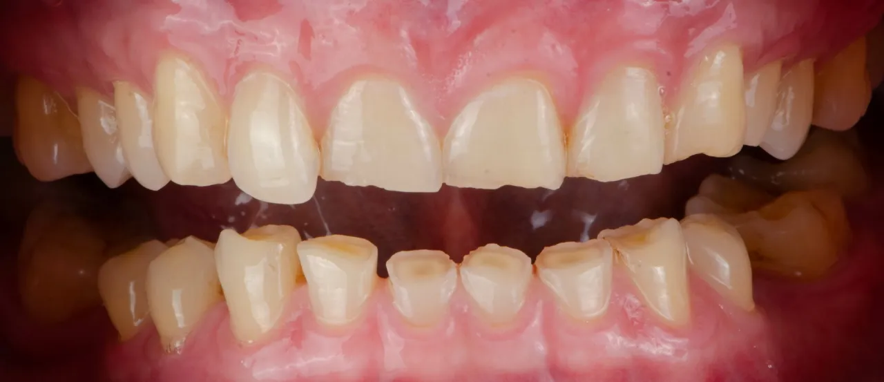
Regularny przegląd stomatologiczny to kompleksowa ocena stanu zdrowia jamy ustnej, która wykracza daleko poza samo wykrywanie próchnicy. Dentysta dokładnie bada nie tylko zęby, ale również dziąsła, błony śluzowe i zgryz. Co więcej, uważny specjalista może zauważyć wczesne sygnały problemów ogólnoustrojowych, które manifestują się właśnie w jamie ustnej. Wczesna identyfikacja tych objawów jest kluczowa dla szybkiej interwencji i zapobiegania poważniejszym konsekwencjom zdrowotnym.
Czego dentysta szuka, zaglądając Ci w usta pierwszy rzut oka
- Stan zębów pod kątem widocznych ubytków próchnicowych.
- Stan istniejących wypełnień czy są szczelne i nieuszkodzone.
- Ślady pęknięć na szkliwie.
- Stopień starcia zębów, który może świadczyć o bruksizmie.
- Ogólna kondycja dziąseł ich kolor, obrzęk, czy występują krwawienia.
- Wygląd błon śluzowych czy są zdrowe, czy występują jakieś niepokojące zmiany.
Próchnica i jej ukryte oblicza co widzi wprawne oko stomatologa?
Nie tylko czarne plamki: wczesne sygnały demineralizacji szkliwa
Dentysta potrafi zidentyfikować próchnicę już w jej najwcześniejszych stadiach, zanim jeszcze pojawią się widoczne ubytki. Zwraca uwagę na matowe, białe plamki na szkliwie, które są oznaką demineralizacji. Wczesne wykrycie tych zmian jest niezwykle ważne, ponieważ pozwala na zastosowanie metod profilaktycznych, które mogą zatrzymać proces próchnicowy i zapobiec konieczności borowania. To właśnie w tych początkowych etapach mamy największą szansę na zachowanie zdrowego szkliwa bez inwazyjnych zabiegów.
Próchnica wtórna: gdy problem czai się pod starą plombą
Próchnica wtórna rozwija się na granicy wypełnienia i tkanki zęba, często pod starą lub nieszczelną plombą. Dentysta jest w stanie ją wykryć dzięki uważnej inspekcji, często przy użyciu cienkich narzędzi diagnostycznych. Nieszczelne wypełnienia tworzą mikroszczeliny, przez które bakterie mogą przenikać, powodując dalszy rozwój próchnicy w ukrytym miejscu. Wczesne wykrycie pozwala na wymianę wypełnienia i usunięcie zainfekowanej tkanki, zanim problem stanie się poważniejszy.
Niewidoczne zagrożenie: jak dentysta wykrywa próchnicę na powierzchniach stycznych?
Powierzchnie styczne zębów, czyli te znajdujące się między zębami, są szczególnie podatne na próchnicę, a jednocześnie trudne do samodzielnego zbadania. Dentysta wykorzystuje specjalne nici dentystyczne i cienkie zgłębniki, aby wyczuć ewentualne nierówności czy ubytki. Bardzo często jednak kluczowe okazuje się zdjęcie rentgenowskie punktowe, które precyzyjnie uwidacznia próchnicę rozwijającą się w tych trudno dostępnych miejscach, zanim jeszcze stanie się ona widoczna klinicznie.
Twoje dziąsła mówią prawdę o zdrowiu co zdradza ich kolor i kondycja?
Zapalenie dziąseł vs. paradontoza: jak dentysta różnicuje te problemy?
Dentysta potrafi odróżnić łagodne zapalenie dziąseł od zaawansowanej paradontozy. Zapalenie dziąseł charakteryzuje się zaczerwienieniem, obrzękiem i skłonnością do krwawienia podczas szczotkowania. Paradontoza to poważniejsza choroba przyzębia, która prowadzi do utraty tkanki kostnej wokół zębów. Dentysta ocenia kolor, kształt i konsystencję dziąseł, a także sprawdza, czy nie występują kieszonki dziąsłowe, które są wskaźnikiem postępującej choroby.
Tajemnica sondy periodontologicznej: co oznacza pomiar kieszonek dziąsłowych?
Sonda periodontologiczna to cienkie, elastyczne narzędzie, które dentysta delikatnie wprowadza w przestrzeń między zębem a dziąsłem. Pomiar głębokości tych kieszonek jest kluczowy w diagnostyce paradontozy. Zdrowe kieszonki mają głębokość zazwyczaj do 3 mm. Wartości przekraczające 3-4 mm mogą sygnalizować gromadzenie się płytki bakteryjnej i stanu zapalnego, co jest wczesnym sygnałem rozwijającej się choroby przyzębia i może prowadzić do utraty kości.
Recesja dziąseł: czy to tylko problem estetyczny?
Recesja dziąseł to stan, w którym dziąsło stopniowo obniża się, odsłaniając szyjki i korzenie zębów. Dentysta łatwo zauważa ten problem podczas badania. Choć często postrzegana jako defekt estetyczny, recesja dziąseł niesie ze sobą poważniejsze konsekwencje. Odsłonięte korzenie są bardziej podatne na nadwrażliwość, a także zwiększa się ryzyko rozwoju próchnicy korzeniowej, która postępuje szybciej niż próchnica szkliwa. Może być również sygnałem nieprawidłowej higieny lub zbyt agresywnego szczotkowania.

Zęby pod lupą co widać na zdjęciu rentgenowskim, czego nie widać gołym okiem?
Zdjęcie panoramiczne (pantomogram): mapa Twojej szczęki i żuchwy
Zdjęcie panoramiczne, czyli pantomogram, to szerokokątny obraz całej szczęki i żuchwy. Pozwala ono dentyście zobaczyć wszystkie zęby, włączając w to te, które jeszcze nie wyrosły lub są zatrzymane, jak np. ósemki. Jest to również doskonałe narzędzie do oceny stanu kości, stawów skroniowo-żuchwowych i zatok szczękowych. Pantomogram jest niezbędny przy planowaniu leczenia ortodontycznego, implantologicznego czy chirurgicznego, dając kompleksowy wgląd w strukturę całej szczęki.
Zdjęcie punktowe: precyzyjny detektyw w walce z ukrytą próchnicą i zapaleniem
Zdjęcie punktowe, znane również jako zdjęcie okołowierzchołkowe, skupia się na pojedynczym zębie i jego bezpośrednim otoczeniu. Jest to niezwykle precyzyjne narzędzie diagnostyczne, które pozwala na wykrycie próchnicy na powierzchniach stycznych, która jest niewidoczna w badaniu klinicznym. Umożliwia również ocenę stanu korzenia zęba, wykrycie stanów zapalnych w tkankach okołowierzchołkowych (np. zmian ropnych) oraz kontrolę jakości leczenia kanałowego.
Kiedy potrzebne jest badanie 3D (CBCT)? Zaawansowana diagnostyka w praktyce
Tomografia komputerowa wiązki stożkowej (CBCT) to zaawansowane badanie obrazowe, które tworzy trójwymiarowy model struktur jamy ustnej. Jest to narzędzie o najwyższej precyzji, wykorzystywane w skomplikowanych przypadkach. CBCT jest nieocenione w planowaniu leczenia implantologicznego, gdy trzeba dokładnie ocenić ilość i jakość kości, w leczeniu kanałowym trudnych przypadków, a także w chirurgii szczękowo-twarzowej, np. przy usuwaniu zatrzymanych ósemek czy diagnostyce zmian nowotworowych.

Usta jako zwierciadło organizmu jakie choroby ogólnoustrojowe może podejrzewać dentysta?
Anemia, cukrzyca, refluks sygnały zapisane na języku i błonach śluzowych
Jama ustna jest doskonałym barometrem ogólnego stanu zdrowia. Bladość błon śluzowych może być sygnałem anemii z niedoboru żelaza. Charakterystyczny, acetonowy zapach z ust bywa wczesnym objawem cukrzycy lub problemów z nerkami. Z kolei erozja szkliwa, szczególnie na wewnętrznych powierzchniach zębów przednich, może wskazywać na chorobę refluksową przełyku, gdzie kwas żołądkowy uszkadza zęby.
Zmiany na śluzówce, które wymagają szczególnej uwagi: od aft po stany przednowotworowe
- Afty i owrzodzenia: Choć często niegroźne, nawracające lub nietypowe zmiany mogą wymagać dalszej diagnostyki.
- Infekcje grzybicze (kandydoza): Biały nalot na języku lub policzkach, szczególnie u osób z obniżoną odpornością.
- Zmiany przednowotworowe (leukoplakia, erytroplakia): Białe lub czerwone plamy, które nie znikają, mogą być wczesnymi oznakami rozwoju raka jamy ustnej.
- Zmiany nowotworowe: Wszelkie niepokojące guzki, owrzodzenia, które nie goją się przez dłuższy czas.
Wpływ leków na zdrowie jamy ustnej co dentysta musi wiedzieć?
Wiele leków, zarówno tych na receptę, jak i bez recepty, może mieć znaczący wpływ na zdrowie jamy ustnej. Częstym skutkiem ubocznym jest suchość w ustach (kserostomia), która zwiększa ryzyko próchnicy i infekcji. Niektóre leki mogą powodować przerost dziąseł lub zmiany w odczuwaniu smaku. Dlatego tak ważne jest, aby pacjent zawsze informował swojego dentystę o wszystkich przyjmowanych medykamentach, co pozwala na lepsze zrozumienie stanu jamy ustnej i ewentualne modyfikacje planu leczenia czy higieny.

Twoje nawyki na widelcu co dentysta może wywnioskować z wyglądu Twoich zębów?
Czy dentysta wie, że palisz? Demaskujące osady i przebarwienia
Palenie papierosów pozostawia wyraźne ślady w jamie ustnej. Dentysta z łatwością zauważy charakterystyczne, żółte lub brązowe przebarwienia na zębach, szczególnie na wewnętrznych ich powierzchniach. Towarzyszy temu często specyficzny, nieprzyjemny zapach z ust. Oprócz zmian estetycznych, palenie negatywnie wpływa na zdrowie dziąseł, zwiększając ryzyko paradontozy i utrudniając gojenie się ran.
Zgrzytanie zębami (bruksizm): jak starte szkliwo zdradza nocne napięcie
Bruksizm, czyli mimowolne zgrzytanie lub zaciskanie zębów, często występujące w nocy, prowadzi do patologicznego starcia szkliwa. Dentysta diagnozuje bruksizm na podstawie charakterystycznych wzorców starcia zębów, które wyglądają inaczej niż naturalne zużycie. Może również zauważyć pęknięcia szkliwa, nadwrażliwość zębów czy bóle mięśni żwaczowych. W niektórych przypadkach może zalecić noszenie specjalnej szyny relaksacyjnej na noc.
Kwaśna prawda: jak napoje i dieta wpływają na erozję zębów
Częste spożywanie kwaśnych pokarmów i napojów, takich jak soki owocowe, napoje gazowane czy energetyczne, może prowadzić do erozji szkliwa. Dentysta jest w stanie rozpoznać te zmiany, które często objawiają się jako wygładzenie, przeźroczystość lub ubytki na powierzchniach zębów, zwłaszcza tych od strony podniebienia. Podobne zmiany mogą być również spowodowane przez chorobę refluksową. Dentysta może doradzić, jak ograniczyć negatywny wpływ kwasów na szkliwo.
Tajemniczy szyfr na karcie pacjenta jak czytać zapiski dentysty?
Anatomia uśmiechu: jak numeruje się zęby w gabinecie?
W gabinetach stomatologicznych stosuje się ustandaryzowane systemy numeracji zębów, aby zapewnić jasną komunikację i precyzyjne zapisy w dokumentacji medycznej. Najczęściej używanym w Polsce systemem jest system FDI (Federacja Dentystyczna Międzynarodowa). Dzieli on jamę ustną na cztery ćwiartki (górna prawa, górna lewa, dolna lewa, dolna prawa), a zęby w każdej ćwiartce numeruje się od 1 do 8, zaczynając od siekacza środkowego. Na przykład, górna prawa szóstka, czyli pierwszy trzonowiec, nosi oznaczenie 16.
Co oznaczają kolorowe symbole na diagramie Twoich zębów?
Diagram zębowy w karcie pacjenta to graficzne przedstawienie uzębienia, na którym dentysta zaznacza wszelkie istotne informacje dotyczące stanu zdrowia jamy ustnej. Do opisywania ubytków próchnicowych, istniejących wypełnień, zębów przeznaczonych do usunięcia, stanów zapalnych przyzębia czy wykonanych zabiegów często używa się różnokolorowych symboli. Na przykład, czerwony kolor może oznaczać ubytek, niebieski wypełnienie, a zielony ząb do leczenia kanałowego. Pozwala to na szybkie zorientowanie się w sytuacji klinicznej pacjenta.
Przeczytaj również: Zarobki dentystów w Polsce: Ile naprawdę zarabiają?
Nie tylko leczenie co jeszcze widzi dentysta, planując Twój idealny uśmiech?
Ocena wad zgryzu i potrzeba leczenia ortodontycznego
Podczas rutynowej wizyty dentysta ocenia również zgryz pacjenta. Zwraca uwagę na wzajemne relacje między zębami górnymi i dolnymi, sprawdza, czy nie występują stłoczenia, przodozgryz, tyłozgryz czy zgryz krzyżowy. Identyfikacja wad zgryzu jest kluczowa, ponieważ mogą one prowadzić nie tylko do problemów estetycznych, ale także funkcjonalnych, takich jak trudności w żuciu, seplenienie czy nadmierne ścieranie zębów. W przypadku wykrycia wady, dentysta może skierować pacjenta do ortodonty.
Analiza estetyki: jak dentysta planuje poprawę koloru i kształtu zębów
Oprócz zdrowia, dentysta bierze pod uwagę również estetykę uśmiechu. Analizuje kolor, kształt, wielkość i proporcje zębów w stosunku do twarzy pacjenta. Na podstawie tej oceny może zaproponować różne zabiegi poprawiające wygląd uśmiechu, takie jak profesjonalne wybielanie zębów, korekta kształtu zębów materiałami kompozytowymi, czy wykonanie licówek. Celem jest stworzenie harmonijnego i estetycznego uśmiechu, który będzie satysfakcjonował pacjenta.
Kompleksowe spojrzenie: dlaczego dobra diagnoza to podstawa skutecznego leczenia
Dokładna i wszechstronna diagnoza jest fundamentem każdego skutecznego leczenia stomatologicznego. To dzięki niej dentysta może precyzyjnie określić problem, jego przyczynę i zakres. Pozwala to na zaplanowanie terapii dopasowanej do indywidualnych potrzeb pacjenta, która będzie nie tylko skuteczna w krótkim okresie, ale przede wszystkim przyniesie długoterminowe rezultaty. Holistyczne podejście do zdrowia jamy ustnej, uwzględniające wszystkie aspekty od stanu zębów i dziąseł, po wpływ nawyków i ogólnego stanu zdrowia jest kluczem do utrzymania pięknego i zdrowego uśmiechu na lata.
