Pęknięty korzeń zęba to sytuacja, która budzi wiele obaw i pytań. Czy można jeszcze uratować taki ząb? Jakie są szanse i jakie metody leczenia oferuje współczesna stomatologia? W tym artykule rozwiejemy Twoje wątpliwości, przedstawiając kompleksowe informacje na temat diagnozy, leczenia i rokowań w przypadku pękniętego korzenia.
Uratowanie zęba z pękniętym korzeniem jest możliwe, ale zależy od szybkiej diagnozy i typu uszkodzenia.
- Możliwość ratunku zależy od lokalizacji, kierunku i głębokości pęknięcia; kluczowa jest szybka diagnoza.
- Objawy to ból (przy nagryzaniu, pulsujący), nadwrażliwość, obrzęk dziąsła, a czasem przetoka.
- Diagnostyka wymaga tomografii CBCT, zwykłe RTG jest niewystarczające do pełnej oceny.
- Dostępne metody leczenia to specjalistyczne leczenie kanałowe pod mikroskopem, hemisekcja (dla zębów wielokorzeniowych) lub techniki adhezyjne.
- Ekstrakcja jest konieczna przy pęknięciach pionowych przebiegających przez całą długość korzenia.
- Po ekstrakcji najlepszą opcją jest implant, alternatywą most protetyczny lub proteza ruchoma.
Dlaczego szybka reakcja jest kluczowa i co ryzykujesz, zwlekając z wizytą?
W przypadku pękniętego korzenia zęba, czas jest absolutnie kluczowy. Ząb, który doznał takiego uszkodzenia, nie ma zdolności do samoregeneracji. Im dłużej zwlekasz z wizytą u stomatologa, tym większe ryzyko rozwoju poważnych komplikacji. Nieleczone pęknięcie może prowadzić do postępującego stanu zapalnego, który rozprzestrzenia się na tkanki otaczające korzeń i kość szczęki. Infekcja może objąć miazgę zęba, powodując silny ból, a w skrajnych przypadkach nawet doprowadzić do powstania ropni i przetok. Co więcej, zwlekanie znacząco pogarsza rokowania nawet jeśli pierwotnie istniała szansa na uratowanie zęba, zaniedbanie może sprawić, że stanie się to niemożliwe. Dlatego tak ważne jest, aby nie ignorować żadnych niepokojących objawów i jak najszybciej skonsultować się ze specjalistą.
Pęknięcie korony a pęknięcie korzenia poznaj fundamentalną różnicę
Zanim zagłębimy się w szczegóły dotyczące pękniętego korzenia, warto zrozumieć kluczową różnicę między tym uszkodzeniem a pęknięciem korony zęba. Pęknięcie korony, choć może być bolesne i wpływać na estetykę uśmiechu, zazwyczaj dotyczy widocznej części zęba. Często można je naprawić za pomocą wypełnienia, licówki lub korony protetycznej. Pęknięcie korzenia jest jednak znacznie poważniejszym problemem. Dotyczy ono ukrytej części zęba, która znajduje się w kości szczęki. Takie uszkodzenie jest trudniejsze do zdiagnozowania i znacznie trudniejsze do wyleczenia. Rokowania w przypadku pęknięcia korzenia są zazwyczaj gorsze, a szanse na uratowanie zęba zależą od wielu specyficznych czynników.

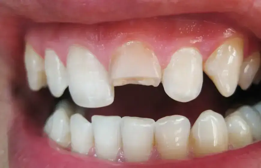
Jak rozpoznać cichego wroga? Najczęstsze objawy pękniętego korzenia
Pęknięty korzeń zęba często bywa podstępny. Objawy mogą być niespecyficzne, przypominać inne schorzenia jamy ustnej, a czasem pojawiać się i znikać, co sprawia, że pacjenci bagatelizują problem. Wczesne rozpoznanie jest jednak kluczowe dla powodzenia leczenia.
Ból, który nie daje o sobie zapomnieć: pulsujący, ostry czy tylko przy nagryzaniu?
Charakter bólu towarzyszącego pękniętemu korzeniowi może być zróżnicowany. Często pacjenci zgłaszają ból pulsujący, który może być oznaką zapalenia miazgi zębowej lub tkanek okołowierzchołkowych. Innym typowym objawem jest ostry, przeszywający ból, który pojawia się nagle, zwłaszcza podczas nagryzania lub żucia. Może on być spowodowany przemieszczaniem się fragmentów pękniętego korzenia lub naciskiem na uszkodzone tkanki. Czasami ból jest bardziej subtelny, odczuwany jako dyskomfort lub tkliwość w okolicy zęba, który nasila się pod wpływem nacisku.
Ukryte sygnały alarmowe: obrzęk dziąsła, przetoka i nadwrażliwość
Poza bólem, istnieją inne sygnały, które mogą wskazywać na pęknięcie korzenia:
- Nadwrażliwość na zmiany temperatury: Ząb może reagować bólem na ciepłe lub zimne bodźce, co świadczy o podrażnieniu nerwów.
- Dyskomfort w okolicy dziąsła: Może pojawić się uczucie nacisku, pełności lub tkliwości w okolicy zęba z pękniętym korzeniem.
- Obrzęk dziąsła: Zaczerwienienie i obrzęk dziąsła w okolicy chorego zęba to często oznaka stanu zapalnego.
- Przetoka ropna: Jest to jeden z najbardziej niepokojących objawów, świadczący o zaawansowanej infekcji. Przetoka to mały „czyrak” na dziąśle, z którego może sączyć się ropa.
Czy możliwe jest pęknięcie bez bólu? Kiedy problem rozwija się po cichu
Niestety, zdarzają się sytuacje, gdy pęknięcie korzenia rozwija się niemal bezboleśnie, przynajmniej we wczesnym stadium. Może to wynikać z faktu, że pęknięcie nie obejmuje nerwu zęba lub jest zlokalizowane w miejscu, które nie jest bezpośrednio narażone na nacisk. W takich przypadkach problem może postępować przez długi czas, prowadząc do stopniowego osłabienia kości wokół korzenia i rozwoju przewlekłego stanu zapalnego. Dlatego tak ważne są regularne kontrole stomatologiczne, nawet jeśli nie odczuwamy żadnego bólu. Stomatolog podczas rutynowego badania może zauważyć subtelne zmiany, które umknęłyby uwadze pacjenta.
Skąd bierze się problem? Główne przyczyny pęknięć korzeni zębowych
Pęknięcia korzeni zębowych nie pojawiają się znikąd. Są one zazwyczaj wynikiem kombinacji czynników, które osłabiają strukturę zęba lub narażają go na nadmierne siły. Zrozumienie tych przyczyn pomaga w profilaktyce i wczesnym rozpoznaniu ryzyka.
Urazy mechaniczne: niespodziewane wypadki i ich konsekwencje
Jedną z najczęstszych przyczyn pęknięć korzeni są urazy mechaniczne. Nieszczęśliwy wypadek, upadek na twardą powierzchnię, uderzenie piłką w twarz podczas uprawiania sportu to wszystko może prowadzić do nagłego i silnego obciążenia zęba, które przekracza jego wytrzymałość. W takich sytuacjach pęknięcie może być widoczne od razu lub ujawnić się później, gdy osłabiona struktura nie wytrzyma normalnego nacisku podczas żucia.
Ząb po leczeniu kanałowym: dlaczego jest bardziej narażony?
Zęby, które przeszły leczenie kanałowe, są statystycznie bardziej narażone na pęknięcia korzeni. Proces leczenia kanałowego wiąże się z usunięciem miazgi zęba (nerwu i naczyń krwionośnych) oraz mechanicznym opracowaniem kanałów korzeniowych. Choć jest to niezbędny zabieg ratujący ząb przed ekstrakcją, to jednak osłabia jego wewnętrzną strukturę. Ząb staje się bardziej kruchy, a jego odporność na siły żucia maleje. Dlatego po leczeniu kanałowym zaleca się często odbudowę zęba za pomocą korony protetycznej, która zapewnia mu dodatkowe wzmocnienie.
Bruksizm i duże wypełnienia: cisi niszczyciele struktury zęba
Innymi ważnymi czynnikami ryzyka są bruksizm, czyli mimowolne zgrzytanie zębami, często występujące w nocy, oraz obecność dużych wypełnień. Bruksizm generuje ogromne siły działające na zęby przez wiele godzin, prowadząc do ich stopniowego ścierania i osłabienia. Podobnie, rozległe wypełnienia, zwłaszcza amalgamatowe, mogą działać jak kliny, rozwierając tkanki zęba i zwiększając ryzyko pęknięcia. Warto również wspomnieć o wkładach koronowo-korzeniowych choć są one stosowane do wzmocnienia zębów po leczeniu kanałowym, to ich niewłaściwe osadzenie lub nadmierna siła mogą również przyczynić się do pęknięcia korzenia.

Kluczowa diagnoza: Jak dentysta może zobaczyć to, co niewidoczne?
Wykrycie pęknięcia korzenia zęba stanowi nie lada wyzwanie diagnostyczne. Ponieważ korzeń znajduje się głęboko w kości, jest niewidoczny gołym okiem, a subtelne pęknięcia mogą być trudne do zauważenia nawet przy użyciu standardowych metod obrazowania.
Dlaczego zwykłe RTG to za mało? Rola tomografii CBCT w wykrywaniu pęknięć
Standardowe zdjęcia rentgenowskie (RTG), choć powszechnie stosowane w stomatologii, często okazują się niewystarczające do precyzyjnego zdiagnozowania pęknięcia korzenia. Są one dwuwymiarowe i mogą maskować drobne szczeliny, zwłaszcza te biegnące pionowo wzdłuż korzenia. Dlatego złotym standardem w diagnostyce pęknięć korzeni jest tomografia komputerowa wiązki stożkowej (CBCT). Ta nowoczesna technologia pozwala na uzyskanie trójwymiarowego obrazu zęba i otaczających go tkanek z bardzo wysoką rozdzielczością. Dzięki temu lekarz może niemal ze 100% pewnością ocenić obecność, lokalizację, kierunek i głębokość pęknięcia, co jest kluczowe dla dalszego planowania leczenia.
Leczenie pod mikroskopem: precyzja, która ratuje zęby
Mikroskop endodontyczny to kolejne nieocenione narzędzie w diagnostyce i leczeniu pęknięć korzeni. Pozwala on dentyście na znaczne powiększenie pola widzenia, dzięki czemu można dokładnie obejrzeć powierzchnię korzenia, zidentyfikować nawet najmniejsze pęknięcia i ocenić ich rozległość. Mikroskop jest również niezbędny podczas wykonywania skomplikowanych zabiegów endodontycznych, takich jak precyzyjne oczyszczanie i wypełnianie kanałów korzeniowych, co jest często elementem leczenia mającego na celu uratowanie zęba z pękniętym korzeniem.
Szansa na ratunek: Kiedy Twój ząb można jeszcze uratować?
Informacja o pęknięciu korzenia może brzmieć jak wyrok, jednak nie zawsze oznacza to konieczność ekstrakcji zęba. Istnieją sytuacje, w których nowoczesna stomatologia daje realną szansę na uratowanie uszkodzonego zęba. Kluczem jest indywidualna ocena każdego przypadku i uwzględnienie kilku istotnych czynników.
Rodzaj i położenie pęknięcia: co decyduje o rokowaniach?
Najważniejszym czynnikiem wpływającym na rokowania jest rodzaj i lokalizacja pęknięcia. Pęknięcia mogą być pionowe, poziome lub skośne. Ich położenie również ma znaczenie czy pęknięcie znajduje się na samym wierzchołku korzenia, w jego środkowej części, czy może obejmuje szyjkę zęba. Im bardziej pęknięcie jest rozległe i im bliżej znajduje się ujścia kanału korzeniowego, tym trudniejsze może być jego leczenie i tym gorsze mogą być rokowania.
Pionowe czy poziome? Które złamanie daje większe nadzieje?
Generalnie, pęknięcia pionowe, zwłaszcza te biegnące przez całą długość korzenia i sięgające aż do kości, są trudniejsze do leczenia i często prowadzą do konieczności usunięcia zęba. Dają one otwartą drogę dla bakterii do tkanek okołowierzchołkowych. Z kolei niektóre pęknięcia poziome, jeśli są zlokalizowane w odpowiednim miejscu i nie obejmują całego przekroju korzenia, mogą dawać większe nadzieje na powodzenie leczenia zachowawczego lub chirurgicznego. Ważne jest jednak, aby pamiętać, że każda sytuacja jest unikalna.
Stan kości i tkanek wokół zęba: czy jest solidny fundament do leczenia?
Nie mniej istotny jest stan kości i tkanek otaczających korzeń zęba. Jeśli wokół pęknięcia rozwinął się zaawansowany stan zapalny, doszło do znacznej utraty kości lub powstał duży ropień, szanse na uratowanie zęba maleją. Zdrowy przyczep dziąsłowy i odpowiednia ilość kości stanowią fundament, na którym można oprzeć skuteczne leczenie. W przypadku rozległych zmian zapalnych, nawet udane leczenie pęknięcia może nie przynieść oczekiwanych rezultatów, jeśli kość nie będzie w stanie się zregenerować.
Nowoczesna stomatologia w akcji: Metody leczenia pękniętego korzenia
Kiedy diagnoza jest już postawiona, a rokowania wstępnie określone, lekarz może zaproponować jedną z kilku nowoczesnych metod leczenia, które mają na celu uratowanie zęba. Wybór konkretnej procedury zależy od wielu czynników, w tym od rodzaju i lokalizacji pęknięcia, stanu zęba i jego otoczenia.
Hemisekcja i radektomia: "Amputacja" części korzenia jako sposób na uratowanie całości
W przypadku zębów wielokorzeniowych (np. trzonowców), które doznały pęknięcia jednego z korzeni, istnieje możliwość przeprowadzenia zabiegu zwanego hemisekcją lub radektomią. Polega on na chirurgicznym usunięciu uszkodzonego korzenia wraz z fragmentem korony zęba, podczas gdy pozostałe, zdrowe korzenie są zachowywane. Po takim zabiegu, pozostała część zęba może służyć jako stabilny filar pod odbudowę protetyczną, na przykład koronę. Jest to skomplikowana procedura, ale często pozwala na uratowanie zęba, który w innym przypadku musiałby zostać usunięty w całości. Średni koszt hemisekcji w Polsce wynosi zazwyczaj od 650 do 800 zł, w zależności od kliniki i stopnia skomplikowania zabiegu.
Specjalistyczne leczenie kanałowe: jak endodonta walczy o przyszłość zęba
Jeśli pęknięcie korzenia nie jest zbyt rozległe i nie doszło do znacznego uszkodzenia tkanek okołowierzchołkowych, możliwe jest podjęcie próby ratowania zęba poprzez specjalistyczne leczenie kanałowe pod mikroskopem. Procedura ta polega na precyzyjnym oczyszczeniu i wypełnieniu kanałów korzeniowych, a także na dokładnej ocenie i ewentualnym zabezpieczeniu szczeliny pęknięcia. Mikroskop endodontyczny jest tu kluczowy, umożliwiając lekarzowi pracę z niezwykłą dokładnością. Celem jest uszczelnienie systemu kanałowego i zapobieganie dalszemu przenikaniu bakterii.
Techniki adhezyjne: Czy "sklejenie" pękniętego korzenia jest możliwe?
W bardzo specyficznych przypadkach, gdy pęknięcie jest niewielkie i znajduje się w odpowiednim miejscu, stomatolodzy mogą próbować zastosować techniki adhezyjne. Polegają one na wykorzystaniu nowoczesnych materiałów stomatologicznych, takich jak specjalne cementy i kompozyty, do "sklejenia" fragmentów zęba. Jest to jednak metoda o niepewnych rokowaniach i stosowana raczej jako próba ratunkowa w sytuacjach, gdy inne opcje są ograniczone. Sukces zależy od wielu czynników, w tym od precyzji wykonania i zdolności materiału do trwałego połączenia tkanek.
Kiedy trzeba się pożegnać: Scenariusze, w których ekstrakcja jest nieunikniona
Mimo postępów w stomatologii, istnieją sytuacje, w których uratowanie zęba z pękniętym korzeniem jest po prostu niemożliwe. W takich przypadkach ekstrakcja, czyli usunięcie zęba, staje się jedynym rozsądnym rozwiązaniem, które chroni pacjenta przed dalszymi komplikacjami.
Rozpoznanie beznadziejnego przypadku: kiedy leczenie nie przyniesie rezultatu
Istnieje kilka kluczowych scenariuszy, w których ekstrakcja jest nieunikniona:
- Pęknięcia pionowe przebiegające przez całą długość korzenia: Są one zazwyczaj nieuleczalne, ponieważ otwierają drogę infekcji do kości i tkanek otaczających ząb.
- Rozległe i skomplikowane złamania: Gdy pęknięcie jest bardzo głębokie, obejmuje wiele korzeni lub jest połączone z utratą znacznej części tkanki zęba, leczenie może być niemożliwe.
- Zaawansowany stan zapalny tkanek otaczających: Jeśli wokół pękniętego korzenia doszło do rozległego zniszczenia kości, powstania dużego ropnia, który nie poddaje się leczeniu, lub gdy istnieje wysokie ryzyko dalszego rozprzestrzeniania się infekcji, ekstrakcja jest konieczna dla zdrowia pacjenta.
- Pęknięcia poziome w okolicy szyjki zęba: Choć niektóre pęknięcia poziome można leczyć, te zlokalizowane bardzo blisko linii dziąseł często prowadzą do utraty zęba.
Konsekwencje pozostawienia pękniętego zęba bez leczenia
Zaniedbanie leczenia pękniętego zęba może prowadzić do szeregu poważnych konsekwencji zdrowotnych. Infekcja, która rozwija się w miejscu pęknięcia, może przenosić się na sąsiednie zęby i tkanki, powodując ich uszkodzenie. Przewlekły stan zapalny może prowadzić do utraty kości szczęki, co komplikuje przyszłe leczenie protetyczne lub implantologiczne. Nieleczony ząb jest źródłem ciągłego bólu, dyskomfortu i może prowadzić do obrzęków, a w skrajnych przypadkach nawet do ogólnoustrojowych powikłań, takich jak gorączka czy osłabienie organizmu. Dlatego tak ważne jest, aby nie lekceważyć problemu.
Przeczytaj również: Częste odbijanie u dorosłych: przyczyny, domowe sposoby i kiedy do lekarza
Co dalej po ekstrakcji? Planowanie przyszłości Twojego uśmiechu
Utrata zęba, nawet po próbie jego ratowania, nie musi oznaczać końca. Współczesna stomatologia oferuje szereg zaawansowanych rozwiązań, które pozwalają na skuteczne uzupełnienie braku i przywrócenie pełnej funkcji oraz estetyki uśmiechu.
Implant stomatologiczny: złoty standard w odbudowie brakującego zęba
Implant stomatologiczny jest powszechnie uważany za najlepsze dostępne rozwiązanie po ekstrakcji zęba. Jest to mała, tytanowa śruba wszczepiana chirurgicznie w kość szczęki, która zastępuje korzeń utraconego zęba. Na implancie osadza się następnie koronę protetyczną, która idealnie imituje naturalny ząb. Zaletą implantów jest to, że nie wymagają one ingerencji w sąsiednie zęby (jak w przypadku mostów), odtwarzają pełną funkcję żucia i stymulują kość, zapobiegając jej zanikowi. Choć jest to rozwiązanie droższe, jego trwałość i korzyści dla zdrowia jamy ustnej są nieocenione.
Most protetyczny: sprawdzone rozwiązanie i jego wymagania
Most protetyczny to kolejna popularna metoda uzupełniania braków zębowych. W tym przypadku, aby stworzyć solidne podparcie dla sztucznego zęba (lub zębów), konieczne jest zeszlifowanie dwóch zdrowych zębów znajdujących się po obu stronach luki. Zęby te stają się filarami, na których opiera się most. Mosty protetyczne są zazwyczaj tańsze i szybsze w wykonaniu niż implanty, jednak ich główną wadą jest konieczność ingerencji w zdrowe tkanki zębów filarowych, co może w przyszłości prowadzić do ich osłabienia lub problemów z dziąsłami.
Proteza ruchoma: najmniej komfortowe rozwiązanie
Najmniej komfortowym i zazwyczaj najtańszym rozwiązaniem jest proteza ruchoma. Może ona być częściowa (uzupełniająca kilka braków) lub całkowita (w przypadku bezzębności). Protezy ruchome opierają się na dziąsłach i często są mocowane za pomocą klamer do zębów naturalnych. Choć pozwalają na odzyskanie pewnej funkcji żucia i poprawę estetyki, ich głównymi wadami są mniejsza stabilność, potencjalny dyskomfort podczas jedzenia i mówienia, a także ryzyko przyspieszonego zaniku kości pod naciskiem protezy.
