Rak jamy ustnej to poważna choroba, która może dotknąć różne jej części od warg, przez język, dno jamy ustnej, aż po policzki i podniebienie. Zrozumienie, jak wyglądają jego wczesne symptomy, jest absolutnie kluczowe dla szybkiego wykrycia i zwiększenia szans na skuteczne leczenie. Ten artykuł pomoże Ci zidentyfikować potencjalnie niepokojące zmiany, na które warto zwrócić uwagę.
Jak wygląda rak jamy ustnej kluczowe objawy, które pomogą Ci rozpoznać chorobę na wczesnym etapie
- Niegojąca się przez 2-3 tygodnie rana lub owrzodzenie w jamie ustnej to najbardziej charakterystyczny sygnał alarmowy.
- Zwróć uwagę na białe (leukoplakia) lub czerwone (erytroplakia) plamy na błonie śluzowej, których nie da się usunąć szczególnie czerwone mają wysoki potencjał zezłośliwienia.
- Każdy guzek, zgrubienie lub narośl wyczuwalna palcem lub językiem w tkankach miękkich jamy ustnej wymaga natychmiastowej konsultacji.
- Inne objawy to zmiana koloru błony śluzowej, ból, trudności w połykaniu, szczękościsk oraz powiększone węzły chłonne na szyi.
- Pamiętaj, że nie każda zmiana to rak, ale wczesna diagnostyka jest kluczowa dla skutecznego leczenia.
Dlaczego wygląd twojej jamy ustnej ma kluczowe znaczenie? Wczesne sygnały, których nie wolno ignorować
Rak jamy ustnej w Polsce cichy problem, o którym musisz wiedzieć
W Polsce obserwujemy niepokojący wzrost zachorowalności na nowotwory jamy ustnej. Stanowią one znaczący odsetek wśród nowotworów głowy i szyi, które niestety często diagnozowane są w zaawansowanym stadium. To ogromny problem, ponieważ wczesne wykrycie raka jamy ustnej może diametralnie zwiększyć szanse na całkowite wyleczenie. Niestety, wiele osób zgłasza się do lekarza zbyt późno, gdy choroba jest już w zaawansowanym stadium.
Istnieje kilka kluczowych czynników, które znacząco zwiększają ryzyko rozwoju raka jamy ustnej. Należą do nich przede wszystkim palenie tytoniu i nadmierne spożycie alkoholu, szczególnie w połączeniu. Nie można też zapominać o zakażeniu wirusem HPV (szczep 16), które odgrywa coraz większą rolę. Dodatkowo, złą higienę jamy ustnej, przewlekłe podrażnienia mechaniczne (na przykład od źle dopasowanych protez) oraz dietę ubogą w świeże warzywa i owoce również zalicza się do czynników ryzyka.
Lustro, latarka i 5 minut jak samobadanie może uratować ci życie?
Regularne samobadanie jamy ustnej to niezwykle prosta, a zarazem potężna broń w walce z rakiem. Wystarczy lustro i dobra latarka, aby poświęcić kilka minut na dokładne obejrzenie każdego zakamarka języka, policzków, dziąseł, podniebienia. Zwracaj uwagę na wszelkie niepokojące zmiany. Pamiętaj jednak, że samobadanie to tylko pierwszy krok. Kluczową rolę w diagnostyce odgrywają stomatolodzy, którzy podczas rutynowych wizyt kontrolnych potrafią wychwycić nawet najdrobniejsze, podejrzane zmiany, które mogłyby umknąć Twojej uwadze.

Jak wygląda rak jamy ustnej? Przewodnik po niepokojących zmianach krok po kroku
Czerwony alarm: niegojąca się ranka lub owrzodzenie objaw numer jeden
Jeśli zauważysz w swojej jamie ustnej rankę lub owrzodzenie, które nie chce się zagoić w ciągu 2-3 tygodni, to jest to sygnał, którego absolutnie nie wolno bagatelizować. Takie zmiany często krwawią, mogą być bolesne i stanowią jeden z najbardziej charakterystycznych objawów raka jamy ustnej. W takiej sytuacji niezwłoczna konsultacja lekarska jest absolutnie konieczna.
Białe i czerwone plamy (leukoplakia, erytroplakia) kiedy plamka staje się groźna?
Na błonie śluzowej jamy ustnej mogą pojawić się plamy o białym, szarawym lub czerwonym zabarwieniu. Te zmiany, znane jako leukoplakia (białe) i erytroplakia (czerwone), są nieusuwalne i stanowią powód do niepokoju. Szczególnie czerwone plamy, czyli erytroplakia, są uważane za zmiany o wysokim potencjale zezłośliwienia i wymagają pilnej diagnostyki.
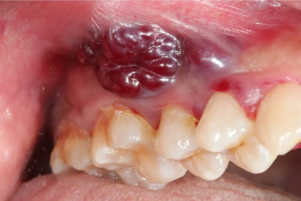
Guzek, zgrubienie, narośl co powinieneś wyczuć językiem lub palcem?
Każde wyczuwalne pod palcami lub językiem zgrubienie, guzek lub narośl w obrębie tkanek miękkich jamy ustnej czy to na policzkach, języku, czy dnie jamy ustnej jest sygnałem alarmowym. Takie nieprawidłowości mogą wskazywać na rozwijający się proces nowotworowy i wymagają poddania się dokładnej diagnostyce.
Asymetria i zmiana koloru subtelne znaki, które zdradza lustro
Podczas samobadania warto zwrócić uwagę na subtelne zmiany. Nietypowe zabarwienie błony śluzowej, na przykład pojawienie się obszarów ciemniejszych lub jaśniejszych niż otaczająca tkanka, może być ważnym sygnałem. Podobnie, wszelkie zauważalne asymetrie w wyglądzie jamy ustnej powinny wzbudzić Twoją czujność.
Mapa zagrożeń w jamie ustnej: gdzie najczęściej ukrywa się nowotwór?
Rak języka: zdradliwe zmiany na bocznej krawędzi
Rak języka najczęściej lokalizuje się na jego bocznych powierzchniach. Może przybierać formę płaskiego, ale twardego owrzodzenia z uniesionymi brzegami, albo bardziej przypominać kalafiorowaty, szybko rosnący guz. Zmiany te bywają zdradliwe, ponieważ początkowo mogą nie powodować silnego bólu.
Rak dna jamy ustnej: co kryje się pod językiem?
Zmiany nowotworowe zlokalizowane w dnie jamy ustnej często przyjmują postać naciekającego owrzodzenia, które znajduje się bezpośrednio pod językiem. Ta lokalizacja może utrudniać samodzielne zauważenie problemu, dlatego ważne jest regularne badanie tej okolicy.
Rak wargi: gdy "opryszczka" nie chce zniknąć od tygodni
Rak wargi najczęściej dotyka wargę dolną. Może objawiać się jako niegojące się owrzodzenie, pęknięcie lub stwardnienie. Często bywa mylony z długo utrzymującą się opryszczką, dlatego tak ważne jest zwrócenie uwagi na czas gojenia się zmian.
Rak policzka i dziąseł: na co zwrócić uwagę podczas mycia zębów?
W przypadku raka policzka, zmiany mogą przyjmować postać białych plam, owrzodzeń lub guzków zlokalizowanych po wewnętrznej stronie policzka. Natomiast rak dziąseł objawia się jako wszelkie niegojące się zmiany, guzki czy owrzodzenia w tej okolicy, które mogą być mylone ze stanem zapalnym dziąseł.
To nie tylko wygląd! Inne objawy, które powinny zapalić czerwoną lampkę
- Ból w jamie ustnej, gardle lub uchu, często promieniujący.
- Trudności i ból podczas żucia lub połykania (dysfagia).
- Uczucie ciała obcego w gardle.
- Szczękościsk lub problemy z ruchomością języka.
- Zmiana w głosie, przewlekła chrypka.
- Drętwienie języka lub wargi.
- Powiększone węzły chłonne na szyi, wyczuwalne jako twarde, niebolesne guzki.
- Niewyjaśnione wypadanie zębów.
Co dalej? Zauważyłem niepokojącą zmianę praktyczny plan działania
Stomatolog czy laryngolog? Do którego lekarza umówić wizytę w pierwszej kolejności?
W przypadku zauważenia jakichkolwiek niepokojących zmian w jamie ustnej, pierwszym krokiem powinna być wizyta u stomatologa. Stomatolodzy są specjalistami od zdrowia jamy ustnej i często są pierwszym punktem kontaktu, który może skierować pacjenta do dalszej diagnostyki. W niektórych przypadkach konieczna może być również konsultacja z laryngologiem.
Jak przygotować się do wizyty, by uzyskać jak najwięcej informacji?
- Zapisz, kiedy dokładnie zauważyłeś zmianę.
- Opisz, jak zmiana ewoluowała czy się powiększała, zmieniała kolor, czy pojawił się ból.
- Wymień wszelkie inne objawy, które Ci towarzyszą.
- Zastanów się nad swoimi czynnikami ryzyka (palenie, alkohol itp.).
Od badania po biopsję czego spodziewać się w gabinecie lekarskim?
W gabinecie lekarskim możesz spodziewać się dokładnego badania jamy ustnej i gardła. Lekarz oceni charakter, wielkość i lokalizację zmiany. Podstawową metodą diagnostyczną jest badanie histopatologiczne, które polega na pobraniu niewielkiego fragmentu tkanki (biopsja) ze zmienionego miejsca i przesłaniu go do analizy laboratoryjnej. To właśnie biopsja pozwala na ostateczne potwierdzenie lub wykluczenie obecności komórek nowotworowych. Pamiętaj, że wczesne wykrycie raka jamy ustnej znacząco zwiększa szanse na wyleczenie.
Przeczytaj również: Rany w ustach: Szybka ulga i skuteczne leczenie - co zastosować?
Nie każda zmiana to rak poznaj inne, łagodne schorzenia jamy ustnej
Ważne jest, aby pamiętać, że nie każda niepokojąca zmiana w jamie ustnej jest od razu rakiem. Wiele powszechnych schorzeń, takich jak afty, pleśniawki czy nadżerki, może przypominać początkowe stadia nowotworu. Afty zazwyczaj są bolesne, ale goją się w ciągu tygodnia do dwóch. Pleśniawki mają charakterystyczny biały nalot, który można zetrzeć. Nadżerki to często powierzchowne ubytki błony śluzowej. Kluczowa różnica polega na czasie gojenia, charakterze bólu i wyglądzie zmiany.
Kiedy można zachować spokój, a kiedy trzeba działać natychmiast? Zachowaj spokój, jeśli masz do czynienia z typowymi, szybko gojącymi się zmianami, które znasz. Jednak niezwłocznie skonsultuj się z lekarzem, jeśli zauważysz: niegojącą się ranę trwającą dłużej niż 2-3 tygodnie, zmianę, która krwawi bez wyraźnej przyczyny, powiększający się guzek, uporczywy ból, trudności w połykaniu lub jakikolwiek inny objaw, który budzi Twój niepokój. W przypadku jakichkolwiek wątpliwości, zawsze lepiej dmuchać na zimne i udać się po profesjonalną opinię.
