Zauważenie niepokojących zmian w jamie ustnej, zwłaszcza na dziąsłach, może budzić duży niepokój. Wczesne rozpoznanie potencjalnie groźnych objawów jest kluczowe dla skutecznego leczenia, dlatego warto wiedzieć, jak wyglądają symptomy raka dziąsła i jakie kroki podjąć, gdy je zaobserwujemy.
Przeczytaj również: Ból dziąseł: przyczyny, objawy i skuteczne sposoby na ulgę
Jak wygląda rak dziąsła kluczowe objawy i co robić, gdy je zauważysz
- Rak dziąsła często objawia się jako białe, czerwone lub mieszane plamy, niegojące się owrzodzenia lub guzki na dziąsłach.
- Niepokojące są zmiany, które utrzymują się dłużej niż 2-3 tygodnie, mimo prób leczenia.
- Inne symptomy to nietypowe krwawienie, ból dziąsła, rozchwianie zębów czy drętwienie wargi.
- Główne czynniki ryzyka to palenie, alkohol, wirus HPV oraz zła higiena jamy ustnej.
- Wczesna diagnostyka u stomatologa lub laryngologa, w tym biopsja, jest kluczowa dla skutecznego leczenia.

Jak rozpoznać niepokojące zmiany na dziąsłach
Wczesne objawy raka dziąsła mogą być subtelne i łatwe do przeoczenia, dlatego ważne jest, aby regularnie badać jamę ustną i zwracać uwagę na wszelkie anomalie. Najczęściej pojawiają się one jako zmiany barwnikowe lub strukturalne na powierzchni dziąsła.
Białe lub czerwone plamy (leukoplakia i erytroplakia): pierwszy sygnał alarmowy, którego nie wolno ignorować
Jednym z pierwszych sygnałów, który powinien wzbudzić naszą czujność, są białe lub czerwone plamy na dziąsłach. Białe zmiany, znane jako leukoplakia, mogą przypominać białawy nalot, który nie daje się zeskrobać. Z kolei czerwone plamy, czyli erytroplakia, mają intensywnie czerwoną barwę i mogą być lekko uniesione lub gładkie. Często obie te zmiany, a także ich połączenie (erytroleukoplakia), są uważane za zmiany przedrakowe. Niestety, bywają one mylone ze zwykłymi aftami, pleśniawkami czy po prostu podrażnieniem od jedzenia lub szczoteczki, co może prowadzić do opóźnienia diagnostyki.
Niegojąca się ranka lub owrzodzenie: kiedy zwykła afta powinna wzbudzić Twój niepokój?
Każdy z nas doświadczył bólu związanego z aftą czy niewielkim skaleczeniem w jamie ustnej. Jednak w przypadku raka dziąsła mówimy o rankach lub owrzodzeniach, które nie chcą się goić. Jeśli taka zmiana utrzymuje się dłużej niż 2-3 tygodnie, mimo stosowania domowych sposobów czy preparatów dostępnych bez recepty, jest to bardzo poważny sygnał ostrzegawczy. Taka niegojąca się rana może być płaska lub lekko wklęsła, a jej brzegi mogą być nierówne.
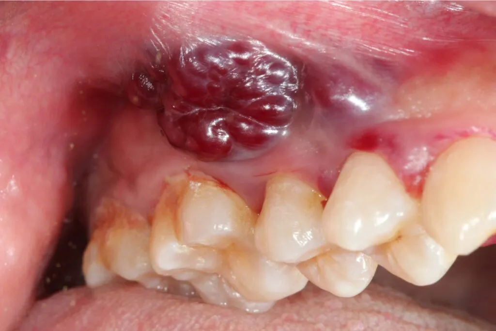
Guzek, zgrubienie lub narośl na dziąśle: jak odróżnić błahą zmianę od potencjalnego nowotworu?
Kolejnym niepokojącym objawem jest pojawienie się na dziąśle wyczuwalnego guzka, zgrubienia lub widocznej narośli. Zmiana ta może początkowo być niewielka i niebolesna, ale z czasem może stopniowo się powiększać. W przeciwieństwie do łagodnych zmian, takich jak torbiele czy zapalenia, guzek nowotworowy często rośnie bez wyraźnego powodu i może być twardy w dotyku.
Krwawienie bez powodu: dlaczego krwawiące dziąsła to nie zawsze objaw paradontozy?
Krwawienie dziąseł jest powszechnym objawem, często kojarzonym z paradontozą lub nieprawidłową higieną jamy ustnej. Jednak w kontekście raka dziąsła, krwawienie może pojawiać się bez wyraźnej przyczyny, na przykład podczas jedzenia miękkich pokarmów lub nawet samoistnie. Jeśli zauważasz, że Twoje dziąsła krwawią częściej niż zwykle, a nie jest to związane z agresywnym szczotkowaniem czy nitkowaniem, warto skonsultować się z lekarzem.
Inne objawy, które mogą towarzyszyć rakowi dziąsła
Rak dziąsła może manifestować się nie tylko zmianami widocznymi bezpośrednio na tkance dziąseł. Czasami towarzyszą mu inne, mniej oczywiste symptomy, które mogą wskazywać na bardziej zaawansowany etap choroby lub naciekanie na sąsiednie struktury. Zwrócenie uwagi na te dodatkowe sygnały jest równie ważne w procesie diagnostycznym.
Tępy, przewlekły ból: gdy boli dziąsło, szczęka lub ucho
Przewlekły, tępy ból w okolicy dziąsła, który nie ustępuje, może być sygnałem alarmowym. Czasami ból ten promieniuje do szczęki, a nawet do ucha po tej samej stronie. Jest to związane z naciekaniem nowotworu na głębsze tkanki i nerwy. Taki uporczywy ból, który nie ma związku z infekcją czy urazem, wymaga pilnej konsultacji lekarskiej.
Proteza przestała pasować? To może być ważny sygnał
Jeśli nosisz protezę zębową i nagle zauważasz, że przestała ona dobrze pasować uciska, powoduje otarcia lub jest po prostu niewygodna może to być jeden z objawów raka dziąsła. Wzrost guza lub zmiany w tkankach dziąseł mogą prowadzić do deformacji łuku zębowego, co wpływa na dopasowanie protezy. To sygnał, którego nie należy lekceważyć, zwłaszcza jeśli zmiany są jednostronne.
Rozchwiane zęby bez wyraźnej przyczyny: objaw zaawansowanego stadium choroby
W bardziej zaawansowanych stadiach raka dziąsła, nowotwór może naciekać na kość szczęki lub żuchwy, prowadząc do rozchwiania zębów w okolicy guza. Jeśli zauważasz, że Twoje zęby stają się luźniejsze, a nie jest to spowodowane chorobą przyzębia czy urazem, może to być objaw postępu choroby nowotworowej. Jest to już zazwyczaj oznaka zaawansowanego stadium raka.
Drętwienie wargi lub brody: co oznacza, gdy nowotwór atakuje nerwy?
Naciekanie nowotworu na nerwy może objawiać się jako uczucie drętwienia, mrowienia lub utraty czucia w obrębie wargi, brody lub języka. Jest to symptom wskazujący na to, że choroba postępuje i obejmuje struktury nerwowe. Takie objawy neurologiczne w obrębie jamy ustnej są bardzo niepokojące i wymagają natychmiastowej diagnostyki.
Dodatkowo, warto zwrócić uwagę na powiększone węzły chłonne na szyi. Choć nie są one bezpośrednio związane ze zmianą na dziąśle, ich powiększenie, zwłaszcza jeśli jest twarde i niebolesne, może świadczyć o przerzutach nowotworowych. Jest to kolejny sygnał, który powinien skłonić do wizyty u lekarza.

Czynniki zwiększające ryzyko raka dziąsła
Świadomość czynników ryzyka raka dziąsła pozwala na podjęcie odpowiednich działań profilaktycznych i unikanie sytuacji, które mogą sprzyjać rozwojowi choroby. W Polsce, podobnie jak w innych krajach, pewne nawyki i predyspozycje znacząco zwiększają prawdopodobieństwo zachorowania.
Papierosy i alkohol: zabójczy duet, który drastycznie zwiększa zagrożenie
Palenie tytoniu jest jednym z najsilniejszych czynników ryzyka rozwoju nowotworów jamy ustnej, w tym raka dziąsła. Substancje zawarte w dymie tytoniowym uszkadzają komórki nabłonka, zwiększając ryzyko mutacji. Podobnie, nadmierne spożycie alkoholu, szczególnie w połączeniu z paleniem, działa synergistycznie, potęgując szkodliwy wpływ na tkanki jamy ustnej. Alkohol i papierosy to prawdziwy zabójczy duet, jeśli chodzi o raka jamy ustnej.
Wirus HPV: cichy winowajca coraz większej liczby nowotworów jamy ustnej
Wirus brodawczaka ludzkiego (HPV), szczególnie jego typy onkogenne takie jak HPV 16, jest coraz częściej identyfikowany jako przyczyna nowotworów jamy ustnej, w tym raka dziąsła. Zakażenie HPV przenoszone jest drogą płciową, a jego rosnąca rola w etiologii tych nowotworów jest niepokojącym trendem. Szczególnie narażone są osoby aktywne seksualnie, które nie stosują odpowiednich zabezpieczeń.
Przewlekłe stany zapalne i zła higiena: dlaczego zaniedbania w jamie ustnej są tak groźne?
Przewlekłe stany zapalne dziąseł, takie jak zapalenie przyzębia, a także ogólnie zła higiena jamy ustnej, tworzą środowisko sprzyjające rozwojowi nowotworów. Długotrwałe podrażnienie tkanek, obecność bakterii i toksyn mogą prowadzić do zmian komórkowych. Zaniedbanie higieny i ignorowanie problemów z dziąsłami to prosta droga do zwiększenia ryzyka poważnych chorób.
Wiek i płeć: kto w Polsce znajduje się w grupie podwyższonego ryzyka?
W Polsce rak dziąsła, podobnie jak inne nowotwory jamy ustnej, częściej dotyka mężczyzn niż kobiet. Ryzyko zachorowania wzrasta znacząco po 40. roku życia, a większość przypadków diagnozuje się u osób starszych. Warto również pamiętać o czynnikach mechanicznych, takich jak źle dopasowana proteza zębowa, która może stale podrażniać tkanki i zwiększać ryzyko rozwoju zmian nowotworowych.
Co robić, gdy podejrzewasz raka dziąsła? Ścieżka diagnostyczna
Podejrzenie raka dziąsła może być stresujące, ale kluczowe jest, aby działać szybko i zgodnie z zaleceniami medycznymi. Wczesne wykrycie nowotworu znacząco zwiększa szanse na skuteczne leczenie i powrót do zdrowia. Oto kroki, które należy podjąć w przypadku zauważenia niepokojących objawów.
-
Pierwsza wizyta: do kogo się udać stomatologa, chirurga szczękowego czy laryngologa?
Pierwszym krokiem powinno być umówienie wizyty u stomatologa. Stomatolog jest specjalistą, który najlepiej oceni stan jamy ustnej i dziąseł. Jeśli lekarz stomatolog zauważy niepokojące zmiany, skieruje pacjenta do odpowiedniego specjalisty chirurga szczękowo-twarzowego lub laryngologa, którzy zajmują się leczeniem nowotworów głowy i szyi.
-
Jak wygląda badanie w gabinecie i na co lekarz zwróci szczególną uwagę?
Podczas wizyty lekarz dokładnie obejrzy jamę ustną, w tym dziąsła, język, policzki i podniebienie. Zwróci uwagę na wszelkie zmiany, takie jak owrzodzenia, guzki, plamy, zgrubienia czy nieprawidłowe krwawienie. Lekarz może również zbadać węzły chłonne na szyi pacjenta, aby sprawdzić, czy nie są powiększone.
-
Biopsja, czyli pobranie wycinka: jedyny sposób na 100% pewności
Najważniejszym elementem diagnostyki raka dziąsła jest biopsja. Polega ona na pobraniu niewielkiego fragmentu podejrzanej tkanki, który następnie jest wysyłany do badania histopatologicznego. Tylko analiza laboratoryjna pozwala na jednoznaczne potwierdzenie obecności komórek nowotworowych i określenie ich charakteru. Bez biopsji nie można postawić ostatecznej diagnozy.
W Polsce rak jamy ustnej, w tym rak dziąsła, jest niestety często wykrywany w późnym stadium zaawansowania, co znacząco pogarsza rokowania. Dlatego tak kluczowa jest wczesna diagnostyka.
Kiedy pilnie skonsultować się z lekarzem?
- Niegojąca się ranka lub owrzodzenie na dziąśle, które nie znika po 2-3 tygodniach.
- Pojawienie się guzka, zgrubienia lub narośli na dziąśle.
- Białe lub czerwone plamy na dziąśle, które utrzymują się dłużej.
- Nietypowe, nawracające lub samoistne krwawienie z dziąseł.
- Przewlekły ból dziąsła, szczęki lub promieniujący do ucha.
- Drętwienie lub mrowienie wargi, brody lub języka.
- Powiększone, twarde węzły chłonne na szyi.
- Nagłe problemy z dopasowaniem protezy zębowej.
