Ten artykuł kompleksowo wyjaśnia, czym jest recesja dziąseł, jakie są jej przyczyny, objawy i konsekwencje dla zdrowia jamy ustnej. Dowiesz się również o skutecznych metodach leczenia oraz o tym, jak skutecznie zapobiegać temu problemowi, by cieszyć się zdrowym i pięknym uśmiechem.
Recesja dziąseł to cofanie się dziąseł odsłaniające korzenie zębów, wymagające leczenia
- Recesja dziąseł to stopniowe i nieodwracalne cofanie się linii dziąseł, prowadzące do odsłonięcia szyjek i korzeni zębów.
- Główne przyczyny to niewłaściwa higiena jamy ustnej, uwarunkowania genetyczne, bruksizm oraz palenie papierosów.
- Objawy obejmują nadwrażliwość zębów na zimno i słodycze, wizualne wydłużenie zębów oraz krwawienie i ból dziąseł.
- Nieleczona recesja może prowadzić do próchnicy korzenia, stanów zapalnych miazgi, rozchwiania, a nawet utraty zębów.
- Leczenie obejmuje profesjonalną higienizację, eliminację przyczyn oraz w zaawansowanych przypadkach zabiegi chirurgiczne, takie jak przeszczep dziąsła.
- Kluczowa jest profilaktyka: prawidłowe szczotkowanie zębów, nitkowanie i regularne wizyty u stomatologa.

Recesja dziąseł cichy problem, który widać na Twoich zębach. Czym dokładnie jest?
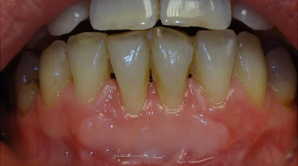
Recesja dziąseł to nic innego jak stopniowe i nieodwracalne cofanie się linii dziąseł, co w konsekwencji prowadzi do odsłonięcia szyjek, a nawet korzeni zębów. W mojej praktyce widzę, że jest to problem niezwykle powszechny, który dotyka szerokie spektrum pacjentów. Chociaż ryzyko jego wystąpienia wzrasta z wiekiem, to jednak coraz częściej obserwuję go również u osób młodych, a nawet u dzieci. Niestety, raz utracona tkanka dziąsłowa nie odrasta samoistnie, co czyni ten proces nieodwracalnym i wymaga interwencji specjalisty.
Dlaczego nie można tego ignorować? Konsekwencje odsłoniętych szyjek zębowych
Ignorowanie recesji dziąseł to proszenie się o poważne problemy. Odsłonięte szyjki zębowe to nie tylko kwestia estetyki, ale przede wszystkim zdrowia. W mojej ocenie, nieleczona recesja może prowadzić do szeregu nieprzyjemnych i groźnych konsekwencji:
- Zwiększone ryzyko próchnicy korzenia: Odsłonięte korzenie są znacznie bardziej podatne na rozwój próchnicy, ponieważ nie są chronione przez szkliwo.
- Powstawanie kieszonek dziąsłowych: Cofające się dziąsła tworzą idealne środowisko dla gromadzenia się bakterii, co prowadzi do pogłębiania się kieszonek i dalszych stanów zapalnych.
- Stany zapalne miazgi: Długotrwała ekspozycja korzenia i próchnica mogą doprowadzić do infekcji miazgi zęba, co często kończy się leczeniem kanałowym.
- Rozchwianie zębów: Utrata tkanki dziąsłowej i kostnej wokół zęba osłabia jego stabilność, co może prowadzić do jego rozchwiania.
- Utrata zębów: W najbardziej zaawansowanych stadiach, kiedy recesja jest bardzo głęboka, a ząb mocno rozchwiany, niestety może dojść do jego utraty.
Czy recesja dziąseł to problem tylko osób starszych? Fakty i mity
Panuje powszechne przekonanie, że recesja dziąseł to domena osób w podeszłym wieku. I choć faktycznie ryzyko jej wystąpienia wzrasta z wiekiem, to chciałbym stanowczo obalić ten mit. W gabinecie stomatologicznym regularnie spotykam się z tym problemem u pacjentów młodych, a nawet u dzieci. Czynniki takie jak agresywne szczotkowanie, wady zgryzu czy cienki biotyp dziąsła mogą predysponować do recesji niezależnie od metryki. Dlatego tak ważne jest, aby nie bagatelizować żadnych objawów, niezależnie od wieku.
Skąd się bierze recesja dziąseł? Poznaj najczęstsze przyczyny
Zrozumienie przyczyn recesji dziąseł to klucz do skutecznej profilaktyki i leczenia. Problem ten rzadko ma jedno źródło; zazwyczaj jest wynikiem współdziałania kilku czynników. Jako specjalista, zawsze staram się dokładnie zdiagnozować, co stoi za cofaniem się dziąseł u danego pacjenta, ponieważ tylko wtedy możemy podjąć skuteczne kroki.
Wróg numer jeden: Agresywne i nieprawidłowe mycie zębów
W mojej ocenie, jedną z najczęstszych przyczyn recesji dziąseł jest, paradoksalnie, zbyt gorliwa i nieprawidłowa higiena jamy ustnej. Wielu pacjentów myśli, że im mocniej szorują zęby, tym lepiej je czyszczą. Nic bardziej mylnego! Agresywne, "szorujące" ruchy szczoteczką, zwłaszcza o twardym włosiu, działają jak ścierniwo na delikatną tkankę dziąseł, stopniowo ją uszkadzając i powodując cofanie. Niewłaściwa technika mycia, zamiast usuwać płytkę bakteryjną, po prostu "zamiata" dziąsło, prowadząc do jego mechanicznego urazu.
Zapalenie dziąseł i kamień nazębny jak zaniedbania prowadzą do recesji?
Z drugiej strony medalu, niedostateczna higiena jamy ustnej również jest potężnym czynnikiem ryzyka. Nagromadzenie płytki bakteryjnej, a następnie jej mineralizacja w kamień nazębny, prowadzi do przewlekłych stanów zapalnych dziąseł, czyli gingivitis. Nieleczone zapalenie dziąseł może przekształcić się w paradontozę (chorobę przyzębia), która charakteryzuje się destrukcją tkanek podtrzymujących ząb, w tym kości i dziąseł. W efekcie, dziąsła cofają się, odsłaniając korzenie zębów, co jest typowym objawem recesji.
Genetyka i anatomia: Czy masz predyspozycje do cofania się dziąseł?
Nie możemy zapominać o czynnikach, na które mamy mniejszy wpływ, czyli o uwarunkowaniach anatomicznych i genetycznych. Niektórzy pacjenci rodzą się z tzw. cienką biotypem dziąsła ich tkanka dziąsłowa jest delikatna i cienka, co sprawia, że jest bardziej podatna na urazy i recesje. Dodatkowo, nieprawidłowe ustawienie zębów w łuku, stłoczenia czy wady zgryzu mogą prowadzić do nierównomiernego obciążenia dziąseł i kości, co również sprzyja ich cofaniu się. W takich przypadkach, nawet przy idealnej higienie, ryzyko recesji jest podwyższone.
Bruksizm, czyli nocne zgrzytanie zębami i jego wpływ na dziąsła
Bruksizm, czyli nieświadome zgrzytanie i zaciskanie zębów, najczęściej podczas snu, to kolejny istotny czynnik przyczyniający się do recesji dziąseł. Nadmierne siły wywierane na zęby i tkanki przyzębia prowadzą do ich przeciążenia. To ciągłe, powtarzające się obciążenie może uszkadzać włókna ozębnej, które utrzymują ząb w zębodole, a także powodować mikrourazy dziąseł, co w konsekwencji prowadzi do ich cofania. W mojej praktyce często widzę, jak bruksizm przyspiesza rozwój recesji, zwłaszcza w połączeniu z innymi czynnikami.
Inne czynniki ryzyka: Palenie, wady zgryzu i nieprawidłowe leczenie
Poza wymienionymi, istnieje szereg innych czynników, które mogą zwiększać ryzyko wystąpienia recesji dziąseł. Warto być ich świadomym, aby móc skutecznie im przeciwdziałać:
- Palenie papierosów: Nikotyna i inne substancje chemiczne zawarte w dymie tytoniowym upośledzają ukrwienie dziąseł, osłabiają ich odporność i utrudniają gojenie, co sprzyja recesjom.
- Piercing w jamie ustnej: Kolczyki w języku lub wargach mogą mechanicznie drażnić dziąsła, prowadząc do ich urazów i cofania się w miejscach kontaktu.
- Źle dopasowane uzupełnienia protetyczne: Korony, mosty czy protezy, które nie są precyzyjnie dopasowane, mogą uciskać dziąsła lub tworzyć miejsca dla gromadzenia się płytki bakteryjnej, wywołując stany zapalne i recesje.
- Aparaty ortodontyczne: W niektórych przypadkach, zwłaszcza gdy ruchy zębów są zbyt szybkie lub niekontrolowane, aparaty ortodontyczne mogą przyczynić się do recesji dziąseł, szczególnie u pacjentów z cienkim biotypem dziąsła.

Jak rozpoznać recesję dziąseł? Sprawdź, czy te objawy Cię dotyczą
Rozpoznanie recesji dziąseł we wczesnym stadium jest kluczowe dla skutecznego leczenia. Często pacjenci zgłaszają się do mnie, gdy problem jest już dość zaawansowany. Dlatego zachęcam do regularnej samoobserwacji i zwracania uwagi na subtelne zmiany w jamie ustnej. Oto najczęstsze objawy, które powinny wzbudzić Twoją czujność.
Pierwszy sygnał ostrzegawczy: Nagła nadwrażliwość na zimno i słodycze
Jednym z najbardziej typowych i często pierwszych objawów recesji dziąseł jest nagła i nieprzyjemna nadwrażliwość zębów. Kiedy dziąsła się cofają, odsłaniają wrażliwe szyjki i korzenie zębów, które nie są chronione przez twarde szkliwo. W rezultacie, nawet niewielkie bodźce termiczne, takie jak zimne napoje czy lody, ciepłe potrawy, a także chemiczne, takie jak słodkie lub kwaśne pokarmy, mogą wywoływać ostry, przeszywający ból. Jeśli zauważasz u siebie taką reakcję, to niemal pewne, że masz do czynienia z odsłoniętymi szyjkami zębowymi.
Lustro nie kłamie: Czy Twoje zęby wydają się dłuższe niż kiedyś?
Wizualne objawy recesji dziąseł są zazwyczaj najbardziej zauważalne i często stanowią powód wizyty u stomatologa. Kiedy patrzysz w lustro, możesz odnieść wrażenie, że Twoje zęby stały się optycznie dłuższe. To właśnie efekt cofających się dziąseł, które odsłaniają część korzenia, która wcześniej była ukryta. Dodatkowo, odsłonięte korzenie zębów często mają żółtawy lub ciemniejszy odcień niż korona zęba, co może być wyraźnie widoczne i wpływać na estetykę uśmiechu.
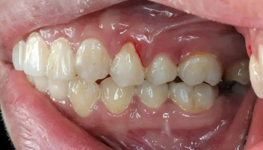
Krwawienie, ból, zmiana koloru co jeszcze powinno Cię zaniepokoić?
Oprócz nadwrażliwości i wizualnego wydłużenia zębów, istnieje szereg innych symptomów, które mogą wskazywać na recesję dziąseł lub towarzyszące jej stany zapalne. Zwróć uwagę na:
- Krwawienie dziąseł podczas szczotkowania: Nawet delikatne szczotkowanie lub nitkowanie może wywołać krwawienie, co jest sygnałem stanu zapalnego.
- Zaczerwienienie i obrzęk dziąseł: Zdrowe dziąsła są różowe i przylegają ściśle do zębów. Zaczerwienienie, obrzęk i tkliwość to objawy zapalenia.
- Ból i dyskomfort: Poza nadwrażliwością na bodźce, możesz odczuwać ogólny ból lub dyskomfort w okolicy dziąseł, zwłaszcza podczas jedzenia.
- Zmiana koloru dziąseł: Mogą pojawić się ciemniejsze, sinoczerwone obszary, świadczące o postępującym procesie zapalnym.
Jak zatrzymać recesję dziąseł? Przegląd skutecznych metod leczenia
Kiedy recesja dziąseł już się pojawi, kluczowe jest podjęcie odpowiednich kroków, aby zatrzymać jej postęp i, jeśli to możliwe, odbudować utraconą tkankę. W mojej praktyce zawsze podkreślam, że skuteczne leczenie jest możliwe, ale wymaga zaangażowania pacjenta i profesjonalnej pomocy. Odpowiednie postępowanie może nie tylko poprawić estetykę, ale przede wszystkim znacząco poprawić komfort i zdrowie jamy ustnej.
Krok podstawowy: Profesjonalna higienizacja i zmiana nawyków
Zanim przejdziemy do bardziej zaawansowanych zabiegów, zawsze zaczynamy od fundamentów. Kluczowe jest zidentyfikowanie i wyeliminowanie pierwotnej przyczyny recesji. Jeśli problemem jest agresywne szczotkowanie, przeprowadzam szczegółowy instruktaż prawidłowej higieny jamy ustnej. W przypadku bruksizmu, zalecam wykonanie szyny relaksacyjnej, która ochroni zęby i dziąsła przed nadmiernymi siłami. Korekta wad zgryzu również może być niezbędna. Profesjonalna higienizacja, czyli usunięcie kamienia i płytki nazębnej, to zawsze pierwszy i absolutnie podstawowy krok, który pozwala stworzyć zdrowe środowisko do dalszego leczenia.
Leczenie niechirurgiczne: Kiedy skaling i kiretaż wystarczą?
We wczesnych stadiach recesji dziąseł, kiedy problem nie jest jeszcze bardzo zaawansowany, często wystarczające okazują się metody leczenia niechirurgicznego. Podstawą jest tu profesjonalna higienizacja, która obejmuje skaling (usunięcie kamienia nazębnego ultradźwiękami) i piaskowanie (usunięcie osadów i przebarwień). Celem jest dokładne oczyszczenie powierzchni zębów i korzeni. Czasami, gdy kamień nazębny zalega głębiej pod dziąsłem, wykonuję kiretaż (tzw. root planing), czyli precyzyjne wygładzenie powierzchni korzeni zębów. To pozwala na usunięcie bakterii i toksyn, a także sprzyja ponownemu przyleganiu dziąsła do zęba, co może zatrzymać dalsze cofanie.
Chirurgiczna odbudowa dziąseł: Na czym polega przeszczep i inne zaawansowane zabiegi?
W przypadkach zaawansowanej recesji, kiedy odsłonięcie korzenia jest znaczne, a metody niechirurgiczne nie są wystarczające, konieczne staje się leczenie chirurgiczne, czyli plastyka dziąseł. Najpopularniejszą i najskuteczniejszą metodą jest pokrycie recesji poprzez przeszczep dziąsła. Najczęściej tkankę do przeszczepu pobiera się z podniebienia pacjenta (tzw. przeszczep autogenny), a następnie precyzyjnie umieszcza w miejscu recesji. Istnieją również inne techniki, takie jak dokoronowe przesunięcie płata (gdzie własne dziąsło pacjenta jest przesuwane w górę, aby pokryć korzeń) czy leczenie metodą tunelową, które pozwalają na minimalnie inwazyjne pokrycie recesji. Celem tych zabiegów jest nie tylko poprawa estetyki, ale przede wszystkim ochrona odsłoniętego korzenia przed próchnicą i nadwrażliwością.
Czy leczenie recesji jest bolesne i ile kosztuje? Realia w polskich gabinetach
Wielu pacjentów obawia się bólu związanego z leczeniem recesji dziąseł. Mogę Państwa zapewnić, że wszystkie zabiegi, zarówno te niechirurgiczne, jak i chirurgiczne, są przeprowadzane w skutecznym znieczuleniu miejscowym, dzięki czemu są bezbolesne. Pewien dyskomfort pooperacyjny jest oczywiście możliwy, ale jest on kontrolowany za pomocą standardowych leków przeciwbólowych i zazwyczaj szybko mija. Jeśli chodzi o koszty, są one zróżnicowane i zależą od stopnia zaawansowania problemu oraz wybranej metody leczenia. Poniżej przedstawiam szacunkowe ceny, które spotykamy w polskich gabinetach:
| Rodzaj zabiegu | Szacunkowy koszt |
|---|---|
| Higienizacja (skaling, piaskowanie) | 200-400 zł |
| Kiretaż (za łuk) | 300-600 zł |
| Chirurgiczne pokrycie recesji (przeszczep, za jeden ząb) | 1000-2000 zł |
Lepiej zapobiegać niż leczyć: Twoja codzienna strategia ochrony dziąseł
Jako stomatolog zawsze powtarzam, że profilaktyka jest znacznie lepsza i tańsza niż leczenie. W przypadku recesji dziąseł to powiedzenie sprawdza się w stu procentach. Codzienne nawyki higieniczne mają absolutnie kluczowe znaczenie w zapobieganiu temu problemowi. Wprowadzenie kilku prostych zmian w rutynie może uchronić Cię przed wieloma nieprzyjemnościami i kosztownymi zabiegami w przyszłości.
Złote zasady mycia zębów: Jaka szczoteczka, pasta i technika są najlepsze?
Prawidłowe szczotkowanie zębów to podstawa profilaktyki recesji dziąseł. Oto moje złote zasady, które powinien stosować każdy:
- Delikatne szczotkowanie: Zawsze używaj miękkiej szczoteczki do zębów. Twarde włosie to wróg dziąseł. Pamiętaj, że celem jest usunięcie płytki bakteryjnej, a nie szorowanie zębów do bólu.
- Prawidłowa technika: Zamiast agresywnego szorowania, stosuj technikę wymiatającą (tzw. roll) lub okrężną (Bassa). Włosie szczoteczki powinno być skierowane pod kątem 45 stopni do linii dziąseł, a ruchy powinny być delikatne, wymiatające od dziąsła w stronę korony zęba.
- Odpowiednia pasta: Wybieraj pasty do zębów przeznaczone do wrażliwych zębów i dziąseł. Często zawierają one składniki łagodzące nadwrażliwość i wzmacniające dziąsła.
- Częstotliwość: Myj zęby co najmniej dwa razy dziennie, przez minimum dwie minuty.
Rola nitkowania i płukanek w utrzymaniu zdrowej linii dziąseł
Samo szczotkowanie, nawet najbardziej precyzyjne, nie wystarczy, aby usunąć całą płytkę bakteryjną. Niezwykle ważne jest regularne nitkowanie przestrzeni międzyzębowych. To właśnie tam gromadzi się najwięcej resztek pokarmowych i bakterii, które prowadzą do stanów zapalnych dziąseł i w konsekwencji do recesji. Używaj nici dentystycznej przynajmniej raz dziennie. Dodatkowo, stosowanie płukanek do ust, zwłaszcza tych z chlorheksydyną (krótkoterminowo, pod kontrolą stomatologa) lub naturalnymi składnikami antyseptycznymi, może wspomóc redukcję bakterii i utrzymać dziąsła w dobrej kondycji.
Domowe sposoby na łagodzenie objawów co naprawdę działa?
Warto pamiętać, że domowe sposoby nie leczą samej recesji dziąseł, ponieważ tkanka ta nie odrasta samoistnie. Mogą one jednak skutecznie łagodzić towarzyszące objawy, takie jak stany zapalne, ból czy dyskomfort, wspierając tym samym profesjonalną terapię. W mojej praktyce polecam pacjentom:
- Płukanki z ziół: Napary z szałwii, rumianku czy kory dębu mają właściwości przeciwzapalne i ściągające, co może przynieść ulgę podrażnionym dziąsłom.
- Żele z aloesem: Aloes znany jest ze swoich właściwości kojących i regenerujących. Delikatne wcieranie żelu z aloesu w dziąsła może zmniejszyć stan zapalny.
- Pasty do zębów na nadwrażliwość: Stosowanie specjalistycznych past z substancjami zamykającymi kanaliki zębinowe (np. azotan potasu, fluorek cyny) znacząco redukuje ból wywołany nadwrażliwością.
Przeczytaj również: Ból po wyrwaniu zęba: Szybka ulga i jak rozpoznać powikłania
Regularne wizyty u stomatologa dlaczego są kluczowe w profilaktyce?
Nie mogę wystarczająco podkreślić znaczenia regularnych wizyt kontrolnych u stomatologa. To właśnie podczas takich wizyt, co najmniej raz na 6-12 miesięcy, jestem w stanie wcześnie wykryć pierwsze oznaki recesji dziąseł lub inne problemy z jamą ustną. Profesjonalna higienizacja, którą wykonujemy w gabinecie, jest również nieoceniona w usuwaniu kamienia nazębnego, którego nie da się usunąć domowymi metodami. Dzięki temu możemy interweniować, zanim problem stanie się poważny, a leczenie będzie prostsze i mniej inwazyjne. Pamiętaj, zdrowie Twoich dziąseł to inwestycja w zdrowie całego organizmu.
