Przeczytaj również: Biała dieta po piaskowaniu: Jak utrzymać biel zębów?
Ząb mądrości to ósemka jak go rozpoznać i co robić, gdy boli?
- Ząb mądrości, czyli "ósemka", to trzeci ząb trzonowy, oznaczany w systemie FDI numerami 18, 28, 38 i 48.
- Wyrzyna się zazwyczaj między 17. a 25. rokiem życia, często powodując ból, opuchliznę dziąsła i szczękościsk.
- Do najczęstszych problemów należą ząb zatrzymany, stany zapalne dziąsła (pericoronitis) oraz próchnica.
- Kluczowa w diagnostyce jest wizyta u stomatologa i wykonanie zdjęcia RTG (pantomogramu).
- Ekstrakcja ósemki jest refundowana przez NFZ, jednak skomplikowane zabiegi chirurgiczne mogą wymagać leczenia prywatnego.
- Domowe sposoby, takie jak zimne okłady i płukanki, mogą przynieść tymczasową ulgę, ale nie zastąpią profesjonalnej pomocy dentystycznej.

Rozpoznaj ząb mądrości: przewodnik po lokalizacji i numeracji
Gdzie dokładnie w jamie ustnej znajdują się ósemki?
Zęby mądrości, potocznie zwane "ósemkami", to ostatnie zęby trzonowe w łuku zębowym. Znajdują się one na samym końcu szczęki i żuchwy, po jednym z każdej strony: po prawej i lewej w górnej szczęce oraz po prawej i lewej w dolnej żuchwie. Są to zęby, które jako ostatnie pojawiają się w jamie ustnej, często już w okresie dorosłości.
Który to numer? Jak dentyści oznaczają zęby mądrości (system FDI)
W stomatologii stosuje się międzynarodowy system numeracji FDI. Zgodnie z nim, każdy ząb ma swój unikalny dwucyfrowy numer. Zęby mądrości, czyli ósemki, otrzymują następujące oznaczenia: ząb w górnym prawym kwadrancie to 18, w górnym lewym to 28, w dolnym lewym to 38, a w dolnym prawym to 48. Ten system pozwala na precyzyjne zidentyfikowanie każdego zęba w jamie ustnej pacjenta.
Czy każdy ma cztery zęby mądrości? Fakty i mity
Nie jest prawdą, że każdy człowiek posiada wszystkie cztery zęby mądrości. Czasami zdarza się, że jeden, dwa lub nawet wszystkie zęby mądrości nie rozwijają się wcale. Innym częstym problemem jest sytuacja, gdy ząb mądrości, mimo że się rozwinął, nie jest w stanie przebić się przez dziąsło i kość mówimy wtedy o zębie zatrzymanym. Dlatego obecność wszystkich czterech ósemek nie jest gwarantowana.
Kiedy ósemki dają o sobie znać: wiek i objawy wyrzynania
Ból, opuchlizna, szczękościsk: najczęstsze symptomy, których nie wolno ignorować
Wyrzynanie się zębów mądrości to często proces bolesny i uciążliwy. Typowe objawy, które powinny skłonić do wizyty u dentysty, to silny ból zęba i dziąsła, widoczna opuchlizna w okolicy ósemki, a nawet uczucie rozpierania w całej szczęce lub żuchwie. Czasem pojawia się również szczękościsk, czyli trudność w otwieraniu ust. Niektórzy pacjenci doświadczają także stanów podgorączkowych i powiększenia węzłów chłonnych pod żuchwą. Ból może promieniować do ucha, skroni, a nawet do szyi. Tych sygnałów organizmu nie można lekceważyć.
Dlaczego wyrzynanie zębów mądrości tak często boli?
Główną przyczyną bólu podczas wyrzynania ósemek jest zazwyczaj brak wystarczającej przestrzeni w łuku zębowym. Zęby mądrości, jako ostatnie w kolejności, często napotykają na swojej drodze już istniejące zęby. Nacisk, jaki wywierają na sąsiednie tkanki i kość, powoduje stan zapalny i dolegliwości bólowe. Dziąsło nad wyrzynającym się zębem może być obrzęknięte i zaczerwienione, co dodatkowo potęguje dyskomfort.
Jak odróżnić ból ósemki od problemów z sąsiednimi zębami?
Rozróżnienie źródła bólu może być trudne, ale istnieją pewne wskazówki. Ból związany z ósemką często lokalizuje się głęboko z tyłu jamy ustnej, w miejscu, gdzie powinna znajdować się ósemka. Może być odczuwany jako tępy, pulsujący ból, który promieniuje. Często towarzyszy mu opuchlizna dziąsła w tym konkretnym miejscu. Jeśli ból jest bardziej zlokalizowany na bocznej powierzchni zęba lub odczuwasz nadwrażliwość na zimno/ciepło, problem może dotyczyć siódemki lub szóstki. W razie wątpliwości, najlepszym rozwiązaniem jest konsultacja ze stomatologiem, który dokładnie zdiagnozuje przyczynę dolegliwości.
Ząb mądrości zatrzymany: ukryty problem
Co to znaczy, że ząb jest "zatrzymany" i dlaczego tak się dzieje?
Mówimy, że ząb jest "zatrzymany", gdy z jakiegoś powodu nie jest w stanie w pełni wyrżnąć się do jamy ustnej. Może to oznaczać, że ząb znajduje się całkowicie w kości szczęki lub żuchwy, albo tylko częściowo przebił się przez dziąsło. Najczęstszą przyczyną zatrzymania ósemek jest brak miejsca w łuku zębowym pozostałe zęby zajmują całą dostępną przestrzeń. Inne powody to nieprawidłowe położenie zawiązka zęba, zbyt gruba warstwa kości lub tkanki miękkiej nad zębem, a także obecność dodatkowych zębów lub torbieli.
Jakie ryzyko niesie ze sobą niewyrżnięta ósemka? (torbiele, uszkodzenie korzeni)
- Niewyrżnięty ząb mądrości, zwłaszcza jeśli jest zatrzymany, może stanowić poważne zagrożenie dla zdrowia jamy ustnej. Jednym z najpoważniejszych powikłań jest rozwój torbieli zawiązkowej. Jest to rodzaj cysty, która tworzy się wokół korony zęba, który nie mógł się wyrżnąć. Torbiel może stopniowo powiększać swoją objętość, niszcząc otaczającą kość szczęki lub żuchwy, a nawet powodując złamania patologiczne.
- Kolejnym ryzykiem jest uszkodzenie korzeni sąsiednich zębów. Zatrzymana ósemka, która rośnie pod nieprawidłowym kątem, może naciskać na korzenie zęba siódmego (sąsiadującego z nią trzonowca). Długotrwały ucisk może prowadzić do resorpcji (zaniku) korzenia siódemki, co w skrajnych przypadkach może skutkować jego utratą.

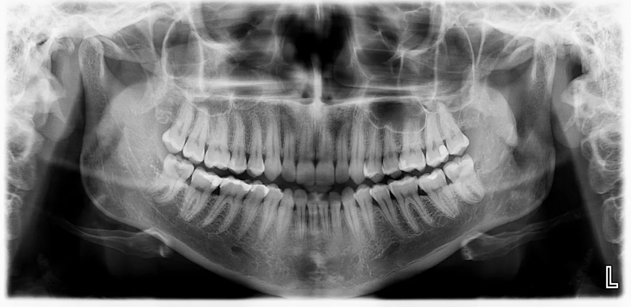
Diagnostyka kluczem do sukcesu: Rola zdjęcia panoramicznego (pantomogramu)
Kluczową rolę w diagnostyce problemów z zębami mądrości odgrywa radiologia. Najczęściej wykonywanym badaniem jest zdjęcie panoramiczne, czyli pantomogram. To właśnie na takim zdjęciu dentysta lub chirurg szczękowo-twarzowy może precyzyjnie ocenić położenie wszystkich zębów, w tym ósemek, nawet tych całkowicie zatrzymanych w kości. Pantomogram pozwala również na ocenę relacji zęba mądrości do ważnych struktur anatomicznych, takich jak kanał żuchwy, w którym przebiega nerw zębodołowy dolny, czy korzenie sąsiednich zębów. Dzięki temu można zaplanować ewentualne leczenie lub zabieg ekstrakcji z maksymalnym bezpieczeństwem dla pacjenta.
Najczęstsze powikłania związane z ósemkami: kiedy do dentysty?
Pericoronitis, czyli bolesny stan zapalny dziąsła: jak go rozpoznać?
Pericoronitis to potocznie zwany "zapaleniem dziąsła" wokół zęba mądrości, które najczęściej dotyczy ósemek częściowo wyrżniętych. Dzieje się tak, gdy nad koroną zęba tworzy się tzw. "kapturek" dziąsłowy, pod którym gromadzą się resztki jedzenia i bakterie. Sprzyja to rozwojowi stanu zapalnego, który objawia się silnym bólem, zaczerwienieniem i obrzękiem dziąsła. Może pojawić się nieprzyjemny zapach z ust, a nawet ropna wydzielina. W cięższych przypadkach może wystąpić szczękościsk i gorączka. Jeśli zauważysz u siebie te objawy, koniecznie zgłoś się do stomatologa.Próchnica na ósemce: Dlaczego tak trudno jej zapobiec i leczyć?
Zęby mądrości, ze względu na swoje położenie na samym końcu łuku zębowego, są wyjątkowo trudne do dokładnego wyczyszczenia podczas codziennej higieny jamy ustnej. To sprawia, że stają się one "rajem" dla bakterii próchnicotwórczych. W efekcie, próchnica na ósemkach rozwija się często szybciej i jest trudniejsza do wykrycia na wczesnym etapie. Leczenie zębów mądrości jest również problematyczne wymaga precyzyjnego dostępu i często specjalistycznego sprzętu. Co więcej, próchnica na ósemce może łatwo przenieść się na sąsiedni, zdrowszy ząb siódmy, co jeszcze bardziej komplikuje sytuację i często prowadzi do konieczności ekstrakcji obu zębów.
Czy zęby mądrości naprawdę mogą powodować stłoczenie innych zębów?
To pytanie od lat budzi kontrowersje w środowisku stomatologicznym, zwłaszcza wśród ortodontów. Tradycyjnie uważano, że wyrzynające się ósemki, naciskając na pozostałe zęby, mogą być przyczyną ich przesuwania się i stłoczenia, zwłaszcza w przednim odcinku łuku zębowego. Jednak nowsze badania sugerują, że stłoczenia mogą wynikać z innych czynników, takich jak zmiany w obrębie kości szczęk czy procesy wzrostowe. Niemniej jednak, w niektórych przypadkach, zwłaszcza gdy ósemki rosną w niekorzystnym kierunku, stomatolodzy nadal zalecają ich usunięcie, aby zapobiec potencjalnemu problemowi stłoczenia lub jego pogorszeniu.
Usuwanie zęba mądrości: wszystko o ekstrakcji
Kiedy ekstrakcja ósemki jest absolutnie konieczna? Główne wskazania medyczne
- Ból i nawracające stany zapalne: Jeśli ósemka powoduje uporczywy ból lub często dochodzi do stanów zapalnych dziąsła (pericoronitis), ekstrakcja jest często najlepszym rozwiązaniem.
- Zaawansowana próchnica: Gdy ząb jest mocno zniszczony przez próchnicę, a jego leczenie jest nieopłacalne lub niemożliwe, usuwa się go. Dotyczy to również sytuacji, gdy próchnica z ósemki atakuje sąsiednią siódemkę.
- Ucisk na sąsiednie zęby: Jeśli ósemka rośnie w sposób, który powoduje ucisk na korzenie lub korony zębów siódmych, prowadząc do ich uszkodzenia lub bólu, zaleca się jej usunięcie.
- Względy ortodontyczne: W niektórych przypadkach, w celu uzyskania optymalnego efektu leczenia ortodontycznego, konieczne jest usunięcie zębów mądrości, aby zrobić miejsce na prawidłowe ustawienie pozostałych zębów.
Decyzja o konieczności usunięcia zęba mądrości zawsze podejmowana jest przez lekarza stomatologa lub chirurga szczękowo-twarzowego po dokładnej analizie stanu jamy ustnej pacjenta oraz zdjęć rentgenowskich.
Zwykła ekstrakcja a dłutowanie chirurgiczne: na czym polega różnica?
Ekstrakcja zęba mądrości może przybierać dwie formy: zwykłą ekstrakcję i dłutowanie chirurgiczne. Zwykła ekstrakcja to procedura stosunkowo prosta, polegająca na poluzowaniu zęba za pomocą specjalistycznych narzędzi (kleszczy, dźwigni) i jego usunięciu z zębodołu. Jest ona możliwa, gdy ząb jest w pełni wyrżnięty i dostępny. Dłutowanie chirurgiczne jest procedurą bardziej skomplikowaną, stosowaną w przypadku zębów zatrzymanych, leżących głęboko w kości lub mających nietypowy kształt korzeni. Wymaga ono nacięcia dziąsła, usunięcia fragmentu kości otaczającej ząb, a następnie podzielenia go na mniejsze części (dłutowania) przed usunięciem. Jest to zabieg bardziej inwazyjny, wymagający precyzji i doświadczenia chirurga.
Czy usuwanie ósemki na NFZ jest możliwe? Warunki refundacji w Polsce
Tak, usuwanie zębów mądrości jest refundowane przez Narodowy Fundusz Zdrowia. Obejmuje to jednak przede wszystkim standardowe ekstrakcje. W przypadku zębów zatrzymanych, skomplikowanych, wymagających dłutowania chirurgicznego, dostępność zabiegów w ramach NFZ może być ograniczona, a czas oczekiwania na wizytę u specjalisty długi. Z tego powodu wielu pacjentów decyduje się na wykonanie takich zabiegów w prywatnych gabinetach. Koszt prywatnej, chirurgicznej ekstrakcji ósemki może wahać się od około 500 zł do nawet 1500 zł, w zależności od stopnia skomplikowania zabiegu, lokalizacji gabinetu i renomy chirurga.
Ból zęba mądrości nie daje spać: domowe sposoby na ulgę
Zimne okłady i płukanki ziołowe: co naprawdę działa?
- Zimne okłady: Przyłożenie zimnego kompresu (np. woreczka z lodem owiniętym w ręcznik) do policzka w okolicy bolącego zęba może pomóc zmniejszyć obrzęk i złagodzić ból. Należy stosować okłady przez kilkanaście minut, z przerwami.
- Płukanki ziołowe: Płukanie jamy ustnej naparami z ziół o właściwościach przeciwzapalnych i antyseptycznych może przynieść ulgę. Szczególnie polecane są płukanki z szałwii, rumianku lub roztwór soli kuchennej (pół łyżeczki soli na szklankę ciepłej wody). Płukanki należy wykonywać kilka razy dziennie, delikatnie płucząc jamę ustną.
Jakie leki przeciwbólowe dostępne bez recepty mogą pomóc?
W przypadku silnego bólu związanego z wyrzynaniem się ósemki, można sięgnąć po leki przeciwbólowe dostępne bez recepty. Najczęściej stosowane są preparaty zawierające ibuprofen (działa przeciwbólowo i przeciwzapalnie) lub paracetamol (działa przeciwbólowo). Należy zawsze stosować je zgodnie z zaleceniami podanymi w ulotce i nie przekraczać zalecanej dawki. Pamiętaj, że leki te łagodzą objawy, ale nie usuwają przyczyny problemu.
