Określenie "rak zęba" pojawia się w przestrzeni publicznej dość często, budząc zrozumiały niepokój. Jednak kluczowe jest zrozumienie, że nowotwory jamy ustnej nie atakują bezpośrednio samego zęba, a tkanki, które go otaczają. Wczesne rozpoznanie symptomów jest fundamentem skutecznego leczenia, dlatego warto wiedzieć, na co zwracać uwagę.
"Rak zęba" to mit poznaj prawdziwe objawy nowotworów jamy ustnej
- Nowotwory nie atakują zęba, lecz tkanki wokół niego, takie jak dziąsła, język czy kości szczęki.
- Niepokojące objawy to niegojące się owrzodzenia, białe lub czerwone plamy, guzki, ból, drętwienie czy rozchwianie zębów.
- Kluczowe czynniki ryzyka to palenie tytoniu, nadużywanie alkoholu oraz zakażenie wirusem HPV.
- Wczesne wykrycie jest fundamentalne dla skutecznego leczenia nie lekceważ regularnych wizyt u stomatologa.
- W przypadku podejrzenia, pierwszym krokiem jest wizyta u stomatologa lub lekarza rodzinnego, który skieruje do specjalisty.
Co to jest "rak zęba" i dlaczego to określenie wprowadza w błąd?
Termin "rak zęba" jest powszechnie używany, ale muszę od razu zaznaczyć, że jest to określenie potoczne i medycznie nieprawidłowe. Nowotwory złośliwe, które budzą tak wiele obaw, nie rozwijają się w twardych tkankach zęba, takich jak szkliwo czy zębina. Zamiast tego, atakują one struktury, które znajdują się wokół zębów, stanowiąc dla nich wsparcie i otoczenie. Zrozumienie tej różnicy jest kluczowe dla prawidłowej interpretacji potencjalnych objawów.
Gdzie tak naprawdę rozwija się nowotwór? Tkanki, które są zagrożone
Kiedy mówimy o nowotworach w obrębie jamy ustnej, należy pamiętać, że mogą one rozwijać się w różnych miejscach. Najczęściej dotyczą one:
- Dziąseł
- Kości szczęki i żuchwy
- Błony śluzowej policzków
- Języka
- Dna jamy ustnej
Rak płaskonabłonkowy: poznaj najczęstszego wroga w jamie ustnej
Najczęściej diagnozowanym typem nowotworu złośliwego w obrębie jamy ustnej jest rak płaskonabłonkowy. Jest to nowotwór wywodzący się z komórek nabłonka pokrywającego błony śluzowe. Jego pojawienie się może być związane z różnymi czynnikami ryzyka, o których powiem więcej później.

Jakie objawy nowotworów jamy ustnej powinny wzbudzić Twój niepokój?
Zmiany widoczne gołym okiem: białe i czerwone plamy, niegojące się ranki
Pierwsze sygnały, które powinny skłonić nas do wizyty u specjalisty, często manifestują się jako widoczne zmiany w jamie ustnej. Szczególną uwagę należy zwrócić na:
- Niegojące się owrzodzenia lub ranki: Jeśli jakakolwiek rana w ustach nie goi się przez dłużej niż 2-3 tygodnie, może to być sygnał alarmowy.
- Białe plamy (leukoplakia): Są to białawe, lekko uniesione obszary na błonie śluzowej, które mogą być przednowotworowe.
- Czerwone plamy (erytroplakia): Jasnoczerwone, aksamitne plamy są często uważane za zmianę o wyższym potencjale złośliwości niż leukoplakia.
Te zmiany mogą pojawić się na dziąsłach, języku, wewnętrznej stronie policzków lub podniebieniu. Nie należy ich lekceważyć, nawet jeśli nie powodują bólu.
Odczucia, które powinny Cię zaniepokoić: ból, drętwienie i problemy z połykaniem
Oprócz zmian widocznych, istnieją również odczucia, które mogą wskazywać na rozwijający się problem. Warto zwrócić uwagę na:
- Ból: Uporczywy ból zęba lub szczęki, który nie ustępuje po standardowym leczeniu stomatologicznym, może być niepokojący.
- Trudności z żuciem i połykaniem: Jeśli odczuwasz ból lub dyskomfort podczas tych czynności, może to być objaw problemu.
- Szczękościsk: Trudność w otwieraniu ust, znana jako szczękościsk, może być jednym z objawów.
- Drętwienie lub mrowienie: Uczucie drętwienia lub mrowienia wargi, języka lub brody może świadczyć o naciekaniu nerwów przez nowotwór.
Co oznacza "ruchomy ząb" u dorosłego i kiedy jest to objaw raka?
Zazwyczaj rozchwianie zębów u osób dorosłych jest związane z chorobami przyzębia. Jednak jeśli zauważysz, że Twój ząb staje się nagle ruchomy bez wyraźnej przyczyny periodontologicznej, a zwłaszcza jeśli towarzyszą temu inne objawy, takie jak ból czy obrzęk dziąsła, warto skonsultować to ze stomatologiem. W rzadkich przypadkach może to być związane z naciekaniem kości przez nowotwór.
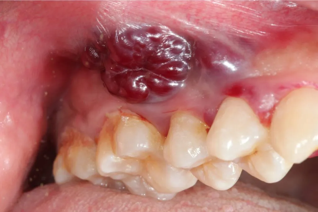
Guzek na dziąśle lub zgrubienie w policzku czy to powód do paniki?
Pojawienie się wyczuwalnego guzka lub zgrubienia na dziąśle, wewnętrznej stronie policzka, pod językiem lub w innej części jamy ustnej jest zdecydowanie sygnałem, który wymaga uwagi. Choć guzki mogą mieć różne przyczyny, w tym łagodne, nie należy ich bagatelizować, ponieważ mogą być wczesnym objawem nowotworu.
Sygnały spoza jamy ustnej: powiększone węzły chłonne i asymetria twarzy
Czasami objawy nowotworu jamy ustnej manifestują się nie tylko w samej jamie ustnej, ale także poza nią. Należy zwrócić uwagę na:
- Powiększone węzły chłonne na szyi: Wyczuwalne, często niebolesne zgrubienia w okolicy szyi mogą świadczyć o przerzutach nowotworowych.
- Asymetria twarzy: Obrzęk w okolicy szczęki lub żuchwy, który powoduje widoczną asymetrię twarzy, może być niepokojący.
- Nieprzyjemny zapach z ust: Uporczywy, nieprzyjemny zapach z ust, który nie mija mimo starannej higieny, może być związany z rozpadem tkanki nowotworowej.
Kto jest najbardziej narażony na nowotwory jamy ustnej?
Palenie i alkohol: duet, który drastycznie zwiększa zagrożenie
Muszę podkreślić, że palenie tytoniu niezależnie od tego, czy są to papierosy, cygara, czy fajka jest jednym z głównych czynników ryzyka rozwoju nowotworów jamy ustnej. Podobnie, nadmierne spożycie alkoholu znacząco zwiększa to ryzyko. Co gorsza, te dwa czynniki, gdy występują razem, potęgują swoje działanie, tworząc bardzo niebezpieczne połączenie.
Wirus HPV: cichy sprawca rosnącej liczby zachorowań
Coraz większą rolę w rozwoju nowotworów jamy ustnej odgrywa wirus brodawczaka ludzkiego, znany jako HPV. Szczególnie typ 16 tego wirusa jest powiązany z nowotworami rozwijającymi się w tylnej części jamy ustnej i gardła. Obserwujemy niestety wzrost liczby zachorowań związanych z HPV, co jest zjawiskiem niepokojącym, zwłaszcza że dotyczy również osób młodszych.
Przewlekłe urazy w jamie ustnej: rola niedopasowanych protez i ostrych krawędzi zębów
Ciągłe drażnienie błony śluzowej jamy ustnej może, w dłuższej perspektywie, zwiększać ryzyko rozwoju zmian nowotworowych. Dotyczy to sytuacji takich jak ostre krawędzie zębów, które stale ocierają o śluzówkę, czy źle dopasowane protezy zębowe, które powodują otarcia i rany.
Znaczenie diety i higieny: jak codzienne nawyki wpływają na ryzyko?
Nasze codzienne nawyki mają znaczenie. Niewłaściwa higiena jamy ustnej, która sprzyja stanom zapalnym i rozwojowi bakterii, może być czynnikiem ryzyka. Podobnie, dieta uboga w warzywa i owoce, a bogata w przetworzoną żywność, nie dostarcza organizmowi niezbędnych antyoksydantów. Warto też pamiętać o ochronie przed słońcem, zwłaszcza w kontekście raka wargi, który jest często związany z nadmierną ekspozycją na promieniowanie UV.
Co zrobić, gdy podejrzewasz u siebie niepokojące objawy?
Do którego lekarza się udać? Stomatolog, laryngolog czy onkolog?
Jeśli zauważysz u siebie jakiekolwiek niepokojące objawy, pierwszy krok jest prosty: udaj się do swojego stomatologa lub lekarza rodzinnego. Oni są pierwszymi specjalistami, którzy mogą ocenić sytuację. W przypadku podejrzenia zmiany nowotworowej, zostaniesz skierowany do odpowiedniego specjalisty, którym może być chirurg szczękowo-twarzowy, onkolog lub laryngolog, w zależności od lokalizacji i charakteru zmian.
Jak wygląda wizyta diagnostyczna i dlaczego nie należy się jej bać?
Wizyta diagnostyczna może budzić lęk, ale pamiętajmy, że jest ona kluczowa dla Twojego zdrowia. Lekarz dokładnie zbada jamę ustną, oceni widoczne zmiany i odczucia, o których mu powiesz. Nie ma powodu do paniki im szybciej zostanie postawiona diagnoza, tym większe szanse na skuteczne leczenie. Wczesne działanie to podstawa.
Biopsja: złoty standard w potwierdzaniu diagnozy
Podstawowym badaniem, które pozwala na ostateczne potwierdzenie lub wykluczenie nowotworu, jest biopsja. Polega ona na pobraniu niewielkiego fragmentu zmienionej tkanki, który następnie jest badany pod mikroskopem przez patologa. Wynik biopsji jest kluczowy dla postawienia precyzyjnej diagnozy i zaplanowania dalszego leczenia.
Nowoczesne badania obrazowe (TK, MRI) co pokażą lekarzowi?
Poza biopsją, lekarze często korzystają z nowoczesnych metod obrazowania, aby ocenić zaawansowanie choroby. Tomografia komputerowa (TK), rezonans magnetyczny (MRI) czy pozytonowa tomografia emisyjna (PET) pozwalają na dokładne zobrazowanie obszaru objętego chorobą, ocenę naciekania okolicznych tkanek oraz wykrycie ewentualnych przerzutów. Dzięki tym badaniom lekarze mogą lepiej zaplanować terapię.
Przeczytaj również: Afty na dziąsłach: Szybkie sposoby na ból i leczenie
Profilaktyka i wczesne wykrywanie: Twoja szansa na zdrowie
Samobadanie jamy ustnej: prosta czynność, która ma ogromne znaczenie
Zachęcam Was wszystkich do regularnego wykonywania samobadania jamy ustnej. Poświęćcie kilka minut, aby dokładnie obejrzeć swoje dziąsła, język, policzki, podniebienie. Sprawdzajcie, czy nie pojawiły się żadne nowe ranki, plamy, zgrubienia czy owrzodzenia. Ta prosta czynność, wykonywana regularnie, może pomóc w zauważeniu niepokojących zmian na bardzo wczesnym etapie.
Dlaczego przegląd stomatologiczny to coś więcej niż kontrola próchnicy?
Wielu z nas traktuje wizytę u dentysty głównie jako kontrolę pod kątem próchnicy. Muszę jednak podkreślić, że stomatolodzy odgrywają nieocenioną rolę we wczesnym wykrywaniu nowotworów jamy ustnej. Podczas rutynowych przeglądów są oni w stanie zauważyć zmiany, które dla pacjenta mogą być niewidoczne lub niezauważalne. Dlatego tak ważne jest, aby nie zaniedbywać regularnych wizyt kontrolnych.
Wczesne wykrycie kluczem do sukcesu: polskie statystyki, które dają do myślenia
Statystyki dotyczące nowotworów jamy ustnej i gardła w Polsce są niestety powodem do refleksji. Stanowią one około 3% wszystkich nowotworów złośliwych, a rocznie diagnozuje się ich od 3500 do 4000. Niestety, w porównaniu do wielu krajów Europy Zachodniej, wskaźniki przeżywalności w naszym kraju są niższe. Główną przyczyną tego stanu rzeczy jest zbyt późne wykrywanie choroby. Dlatego tak ważne jest podnoszenie świadomości na temat objawów i znaczenia profilaktyki.
W Polsce wskaźniki przeżywalności w przypadku nowotworów jamy ustnej i gardła są niższe niż w wielu krajach Europy Zachodniej, co jest związane głównie ze zbyt późnym wykrywaniem choroby.
