Pojawienie się przebarwień na zębach dziecka po antybiotykoterapii może być powodem do niepokoju, ale proszę pamiętać, że jest to częsty problem, na który istnieją rozwiązania. W tym artykule znajdą Państwo kompleksowe informacje o przyczynach powstawania takich przebarwień, ich rodzajach oraz bezpiecznych metodach usuwania i profilaktyki, które pomogą przywrócić piękny uśmiech Państwa pociechy.
Przebarwienia na zębach dziecka po antybiotyku są często powierzchowne i usuwalne, ale wymagają konsultacji ze stomatologiem.
- Tetracykliny powodują trwałe, wewnętrzne przebarwienia, dlatego są niewskazane u małych dzieci i kobiet w ciąży.
- Inne antybiotyki (np. amoksycylina, cefalosporyny) oraz suplementy żelaza mogą powodować zewnętrzne, czarne lub brązowe osady.
- Przebarwienia zewnętrzne są zazwyczaj łatwe do usunięcia w gabinecie stomatologicznym poprzez profesjonalną higienizację.
- Domowe sposoby (jak soda czy cytryna) są niebezpieczne dla delikatnego szkliwa dziecięcego i absolutnie odradzane.
- Profilaktyka podczas kuracji antybiotykowej obejmuje dokładne mycie zębów, płukanie ust wodą i stosowanie probiotyków.
- Pojawienie się przebarwień zawsze wymaga wizyty u stomatologa dziecięcego w celu postawienia prawidłowej diagnozy i zaplanowania bezpiecznego leczenia.
Dlaczego zęby Twojego dziecka zmieniły kolor? Zrozumienie problemu to pierwszy krok
Antybiotykoterapia, choć niezbędna w walce z infekcjami bakteryjnymi, może czasami pozostawić po sobie niepożądany ślad w postaci przebarwień na zębach dziecka. Dzieje się tak, ponieważ niektóre substancje zawarte w lekach wchodzą w interakcje ze strukturami zęba lub osadzają się na jego powierzchni. Zrozumienie mechanizmu powstawania tych przebarwień jest kluczowe do podjęcia odpowiednich kroków. Warto wiedzieć, że problem ten można podzielić na dwie główne kategorie: przebarwienia wewnętrzne, które są integralną częścią struktury zęba, oraz przebarwienia zewnętrzne, które stanowią jedynie osad na szkliwie. Rozróżnienie to jest fundamentalne dla wyboru najskuteczniejszej i najbezpieczniejszej metody leczenia.
Czy każde przebarwienie oznacza to samo? Różnica między osadem a trwałą zmianą
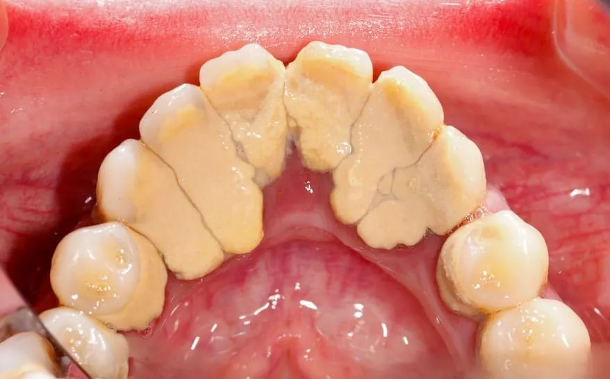
Kluczowe dla dalszego postępowania jest rozróżnienie, czy mamy do czynienia z powierzchownym osadem, czy też z trwałą zmianą strukturalną szkliwa. Przebarwienia zewnętrzne to nic innego jak osad, który gromadzi się na powierzchni zębów. Są one zazwyczaj ciemniejsze, często o barwie od brązowej do niemal czarnej, i mogą przybierać formę plamek, kropek lub linii, szczególnie widocznych w okolicy linii dziąseł. Na szczęście, ponieważ nie naruszają one struktury zęba, są one zazwyczaj stosunkowo łatwe do usunięcia.
Zupełnie inaczej sytuacja wygląda w przypadku przebarwień wewnętrznych. Te zmiany są znacznie głębsze, ponieważ są częścią samej struktury zęba. Często mają jednolity charakter, obejmując całą koronę zęba, i mogą przybierać barwy od żółto-brązowej po szarą. Ich powstawanie jest związane z procesem mineralizacji zębów, co sprawia, że są one znacznie trudniejsze, a czasem wręcz niemożliwe do całkowitego usunięcia, zwłaszcza w przypadku zębów mlecznych.

Nie każdy antybiotyk jest winny poznaj główne przyczyny przebarwień
Tetracykliny: dlaczego dentyści ich unikają u najmłodszych?
Najbardziej problematyczne i nieodwracalne przebarwienia, określane jako wewnętrzne, są zazwyczaj spowodowane przez antybiotyki z grupy tetracyklin. Substancje te, wnikając w rozwijający się ząb podczas fazy jego mineralizacji, trwale wiążą się z jego strukturą. Efektem są widoczne zmiany koloru od żółto-brązowych po szare, które nie ustępują samoistnie. Z tego właśnie powodu stosowanie tetracyklin jest bezwzględnie przeciwwskazane u dzieci poniżej 8-12 roku życia, a także u kobiet w ciąży, u których rozwijają się zęby przyszłego dziecka.
Amoksycylina, cefalosporyny i żelazo: skąd ten czarny lub brązowy osad na zębach mlecznych?
Na szczęście, nie wszystkie antybiotyki powodują tak trwałe zmiany. Leki zawierające w swoim składzie amoksycylinę z kwasem klawulanowym, cefalosporyny, a także popularne suplementy żelaza, które często podaje się dzieciom podczas lub po infekcjach, mogą prowadzić do powstania zewnętrznych przebarwień. Są to zazwyczaj ciemne osady, często o barwie czarnej lub brązowej, które osadzają się na powierzchni szkliwa. Ich powstawanie jest wynikiem reakcji chemicznej między składnikami leku a śliną i bakteriami obecnymi w jamie ustnej dziecka.
Rola słodkich syropów: jak cukier w lekach wpływa na powstawanie przebarwień
Wiele antybiotyków i innych leków dla dzieci występuje w formie słodkich syropów, które mają na celu ułatwienie ich podania. Niestety, zawarty w nich cukier stanowi doskonałą pożywkę dla bakterii w jamie ustnej. Sprzyja to rozwojowi płytki nazębnej i sprzyja powstawaniu osadów, które mogą przyjmować nieestetyczny, ciemny kolor. Dlatego tak ważne jest, aby po podaniu takich leków zadbać o odpowiednią higienę.
Jak wyglądają przebarwienia po antybiotyku? Naucz się je rozpoznawać
Czarne i brązowe kreski przy dziąsłach: charakterystyka osadu zewnętrznego
Przebarwienia zewnętrzne, często obserwowane po niektórych antybiotykach i suplementach, zazwyczaj manifestują się jako ciemne, niemal czarne plamki, kropki lub delikatne linie. Najczęściej pojawiają się one wzdłuż linii dziąseł, na przednich powierzchniach zębów mlecznych. Ich charakterystyczną cechą jest to, że znajdują się wyłącznie na powierzchni szkliwa, nie naruszając jego głębszych warstw.
Szare lub żółto-brązowe zęby: sygnał głębszego problemu wewnętrznego
W przeciwieństwie do zewnętrznych osadów, przebarwienia wewnętrzne mają zazwyczaj bardziej jednolity charakter. Mogą obejmować całą widoczną część zęba, nadając mu niezdrowy, matowy wygląd. Barwa może wahać się od żółto-brązowej po wyraźnie szarą. Taki wygląd zęba jest sygnałem, że zmiana dotyczy jego struktury, a nie tylko powierzchni.
Czy to na pewno antybiotyk? Inne przyczyny plamek, które warto wykluczyć
Choć antybiotyki są częstą przyczyną przebarwień, warto pamiętać, że nie są one jedyną możliwą przyczyną zmian koloru zębów u dzieci. Inne czynniki, takie jak wczesna próchnica, nadmierne spożycie fluoru (fluoroza) czy nawet niewielkie urazy mechaniczne, mogą również prowadzić do pojawienia się plamek i przebarwień. Dlatego tak istotna jest konsultacja ze specjalistą, który postawi prawidłową diagnozę.Profilaktyka jest kluczowa: jak chronić zęby dziecka podczas kuracji?
Złote zasady higieny jamy ustnej w trakcie antybiotykoterapii
- Dokładne mycie zębów: Po każdej dawce antybiotyku, a zwłaszcza po podaniu słodkich syropów, należy bardzo dokładnie umyć zęby dziecka. Używajcie do tego pasty do zębów z fluorem, przeznaczonej dla dzieci. Pamiętajcie o dotarciu do wszystkich powierzchni zębów.
- Podawanie probiotyków: W trakcie i po antybiotykoterapii warto rozważyć podawanie probiotyków. Pomagają one odbudować prawidłową florę bakteryjną w jamie ustnej i mogą zmniejszyć ryzyko rozwoju niekorzystnych zmian.
- Dbanie o nawodnienie: Zapewnij dziecku odpowiednią ilość płynów, najlepiej wody. Dobre nawodnienie pomaga w naturalnym oczyszczaniu jamy ustnej i minimalizuje zaleganie resztek leków.
Płukanie ust wodą po syropie - prosty nawyk, który czyni cuda
Jednym z najprostszych, a jednocześnie niezwykle skutecznych sposobów na zminimalizowanie ryzyka powstawania przebarwień po podaniu leków w formie syropu, jest płukanie ust dziecka czystą wodą. Po każdej takiej dawce zachęć malucha do kilkukrotnego przepłukania buzi. To proste działanie pomaga usunąć resztki leku i cukru, które mogłyby pozostać na zębach.
Rola diety i probiotyków w utrzymaniu zdrowego uśmiechu
Oprócz ścisłego przestrzegania zasad higieny, ważną rolę w utrzymaniu zdrowego uśmiechu odgrywa również dieta. Ograniczenie spożycia słodkich przekąsek i napojów, które sprzyjają rozwojowi bakterii próchnicotwórczych, jest zawsze dobrym pomysłem. W połączeniu z probiotykami, które wspierają równowagę mikrobiologiczną jamy ustnej, tworzą one solidną bazę do zapobiegania nie tylko przebarwieniom, ale i innym problemom stomatologicznym.

Bezpieczne usuwanie przebarwień: co może zrobić stomatolog dziecięcy?
Profesjonalna higienizacja: na czym polega polerowanie i czy jest bezpieczne dla malucha?
W przypadku zewnętrznych osadów, które są łatwe do usunięcia, stomatolog dziecięcy dysponuje skutecznymi i bezpiecznymi metodami. Jedną z nich jest profesjonalna higienizacja, która często obejmuje polerowanie zębów. Zabieg ten polega na delikatnym wygładzeniu powierzchni szkliwa za pomocą specjalnych past i szczotek lub gumek. Jest to procedura całkowicie bezpieczna dla dzieci, która nie tylko usuwa osady i przebarwienia, ale także sprawia, że zęby stają się gładsze, co utrudnia ponowne osadzanie się płytki nazębnej.
Skaling i piaskowanie: kiedy stosuje się te metody u dzieci?
W bardziej zaawansowanych przypadkach, gdy osad jest twardszy lub przekształcił się w kamień nazębny, stomatolog może zastosować skaling. Jest to zabieg polegający na mechanicznym usunięciu kamienia, zazwyczaj za pomocą ultradźwięków lub specjalnych narzędzi. Piaskowanie to kolejna metoda, wykorzystująca strumień drobnych cząstek ściernych pod ciśnieniem, która skutecznie usuwa osady i przebarwienia. U dzieci stosuje się je ostrożniej, zazwyczaj u starszych maluchów, a zawsze pod ścisłym nadzorem doświadczonego stomatologa dziecięcego, który dba o bezpieczeństwo delikatnego szkliwa.
Jak postępować z trudnymi przebarwieniami wewnętrznymi (potetracyklinowymi)?
Przebarwienia wewnętrzne, zwłaszcza te spowodowane tetracyklinami, stanowią duże wyzwanie terapeutyczne, szczególnie w przypadku zębów mlecznych. Całkowite ich usunięcie jest często niemożliwe. W przypadku zębów stałych, u nastolatków i dorosłych, istnieją zaawansowane metody estetyczne, takie jak licówki czy profesjonalne wybielanie, które mogą znacząco poprawić wygląd zębów. Należy jednak podkreślić, że są to zabiegi nieodpowiednie i niedostępne dla małych dzieci. W ich przypadku priorytetem jest utrzymanie zdrowia zębów i dokładna higiena.
Domowe sposoby na przebarwienia czego absolutnie nie robić?
Mit sody oczyszczonej i soku z cytryny: dlaczego to prosta droga do uszkodzenia szkliwa?
W internecie można znaleźć wiele "domowych sposobów" na wybielanie zębów, często opartych na sodzie oczyszczonej lub soku z cytryny. Stanowczo odradzam stosowanie tych metod u dzieci! Soda oczyszczona działa silnie ściernie, a kwas cytrynowy jest agresywny dla szkliwa. Używanie ich na delikatnych zębach mlecznych może prowadzić do ich nieodwracalnego uszkodzenia, nadwrażliwości, a nawet próchnicy. To prosta droga do pogorszenia stanu uzębienia dziecka.Pasty "wybielające" dla dorosłych: czy można je stosować u dzieci?
Podobnie jak w przypadku domowych metod, pasty wybielające przeznaczone dla dorosłych również nie nadają się dla dzieci. Często zawierają one silniejsze substancje ścierne lub chemiczne, które mogą być zbyt agresywne dla wrażliwego szkliwa zębów mlecznych. Ich stosowanie może prowadzić do podrażnień dziąseł, nadwrażliwości, a nawet uszkodzenia szkliwa. Zawsze wybierajcie pasty dedykowane dzieciom, o odpowiedniej zawartości fluoru.
Jedyne bezpieczne działania w domu: prawidłowa pasta i technika szczotkowania
Kiedy mówimy o działaniach domowych w kontekście przebarwień, mamy na myśli przede wszystkim profilaktykę i prawidłową higienę. Jedynym bezpiecznym i zalecanym sposobem jest codzienne, dokładne szczotkowanie zębów dziecka odpowiednią pastą z fluorem. Kluczowa jest technika upewnijcie się, że docieracie do wszystkich powierzchni zębów, a sam proces szczotkowania jest wystarczająco długi. To podstawa zdrowego uśmiechu i najlepsza ochrona przed wieloma problemami.Przeczytaj również: Czy dziąsła odrastają? Leczenie recesji i regeneracja tkanki
Twój plan działania: co zrobić, gdy zauważysz problem u swojego dziecka?
Krok 1: Zachowaj spokój i nie działaj na własną rękę
Widok przebarwień na zębach dziecka może być stresujący, ale najważniejsze to zachować spokój. Unikajcie paniki i przede wszystkim nie próbujcie samodzielnie usuwać przebarwień za pomocą niepewnych metod. Wasze dziecko potrzebuje Waszego opanowania i rozsądnego podejścia.
Krok 2: Umów wizytę u stomatologa dziecięcego to konieczność!
Pojawienie się jakichkolwiek niepokojących zmian na zębach dziecka jest absolutnym wskazaniem do wizyty u stomatologa dziecięcego. Tylko specjalista jest w stanie postawić prawidłową diagnozę, odróżnić przebarwienie od próchnicy czy innych schorzeń, a następnie zaplanować bezpieczne i skuteczne leczenie dostosowane do wieku i potrzeb dziecka.
Krok 3: Wdróż zasady profilaktyki, aby problem nie powrócił
Po wizycie u stomatologa i ewentualnym leczeniu, kluczowe jest wdrożenie omówionych wcześniej zasad profilaktyki. Regularna i dokładna higiena jamy ustnej, odpowiednia dieta oraz świadomość potencjalnych skutków ubocznych leków to najlepsza ochrona przed nawrotem przebarwień i innymi problemami stomatologicznymi.
